Promotional price valid on web orders only. Your contract pricing may differ. Interested in signing up for a dedicated account number?
Learn More
Learn More
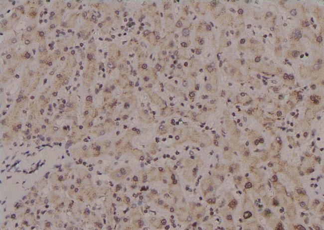
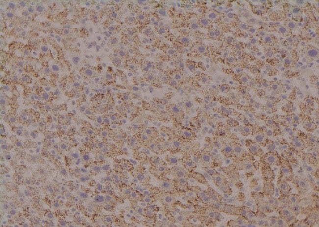
Invitrogen™ Phospho-CrkL (Tyr251) Polyclonal Antibody

Rabbit Polyclonal Antibody
Supplier: Invitrogen™ PA5105573
Description
Antibody detects endogenous levels of CrkL only when phosphorylated at Tyr251.
The CRKL gene encodes the CRK-like protein, an adaptor protein that plays a crucial role in intracellular signaling pathways related to cell proliferation, differentiation, and migration. CRKL contains SH2 and SH3 domains that facilitate interactions with other signaling molecules, influencing multiple pathways such as the MAPK, PI3K, and STAT pathways. It is involved in processes like cytoskeleton reorganization and immune cell signaling, with significant implications for development and cancer. CRKL is notably associated with Philadelphia chromosome-positive leukemias, where it interacts with the BCR-ABL fusion protein, contributing to leukemogenesis. Additionally, dysregulation of CRKL can affect cardiovascular development, leading to congenital heart defects. Research into CRKL focuses on understanding its role in signal transduction and its potential as a therapeutic target due to its involvement in oncogenic and developmental pathways.
Specifications
| Phospho-CrkL (Tyr251) | |
| Polyclonal | |
| Unconjugated | |
| CRKL | |
| 1110025F07Rik; AA589403; AI325100; CRK like proto-oncogene, adaptor protein; CRKL; crkl {ECO:0000312; crk-like protein; crk-like protein {ECO:0000250; Crkol; EMBL:AAH85865.1, ECO:0000312; OTTHUMP00000198539; RGD:1308531}; UniProtKB:P46109}; v-crk avian sarcoma virus CT10 oncogene homolog-like; v-crk sarcoma virus CT10 oncogene homolog (avian)-like; v-crk sarcoma virus CT10 oncogene homolog-like | |
| Rabbit | |
| sequential chromatography | |
| RUO | |
| 12929, 1399, 287942 | |
| -20°C | |
| Liquid |
| Immunohistochemistry (Paraffin), Western Blot | |
| 1 mg/mL | |
| PBS with 50% glycerol and 0.02% sodium azide; pH 7.4 | |
| P46109, P47941, Q5U2U2 | |
| CRKL | |
| A synthesized peptide derived from human CRKL(Accession P46109), corresponding to amino acid residues around phosphorylated Tyr251. | |
| 100 μL | |
| Primary | |
| Human, Mouse, Rat, Monkey | |
| Antibody | |
| IgG |
Safety and Handling
WARNING: Cancer - www.P65Warnings.ca.gov
Product Content Correction
Your input is important to us. Please complete this form to provide feedback related to the content on this product.
Product Title
Spot an opportunity for improvement?Share a Content Correction