Promotional price valid on web orders only. Your contract pricing may differ. Interested in signing up for a dedicated account number?
Learn More
Learn More
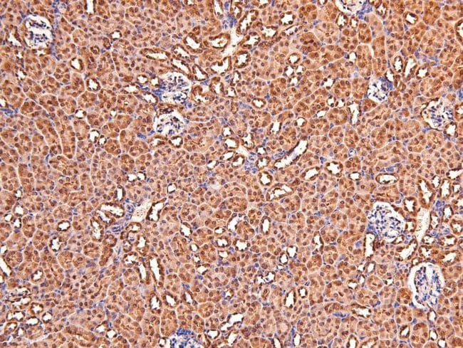
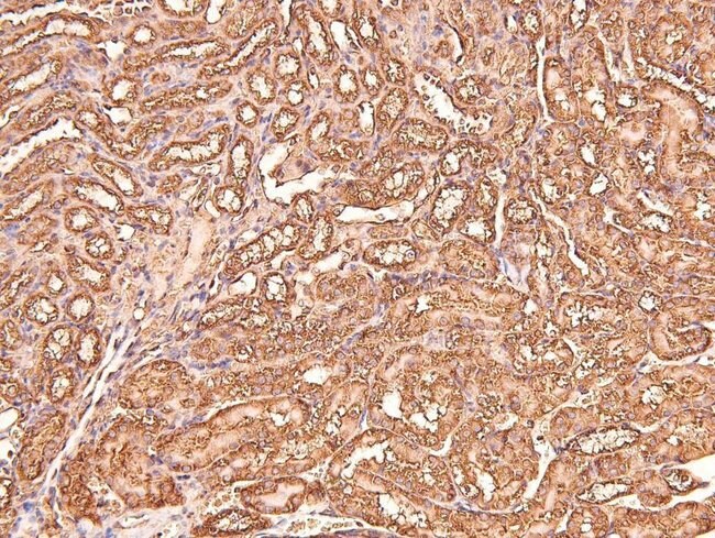
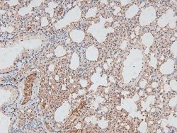
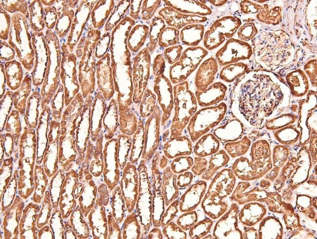
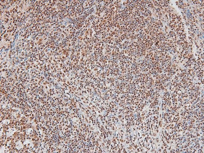
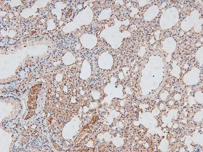
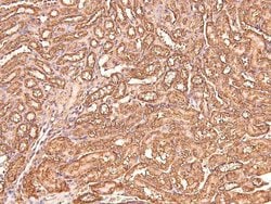
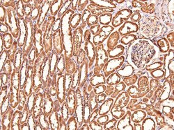
Invitrogen™ Phospho-CtBP1/CtBP2 (Ser158, Ser164) Polyclonal Antibody

Rabbit Polyclonal Antibody
Supplier: Invitrogen™ PA5105984
Description
Antibody detects endogenous levels of CtBP1/2 only when phosphorylated at Ser158/164.
This gene encodes a protein that binds to the C-terminus of adenovirus E1A proteins. This phosphoprotein is a transcriptional repressor and may play a role during cellular proliferation. This protein and the product of a second closely related gene, CTBP2, can dimerize. Both proteins can also interact with a polycomb group protein complex which participates in regulation of gene expression during development. Alternative splicing of transcripts from this gene results in multiple transcript variants.
Specifications
| Phospho-CtBP1/CtBP2 (Ser158, Ser164) | |
| Polyclonal | |
| Unconjugated | |
| CTBP1 | |
| 50 kDa BFA-dependent ADP-ribosylation substrate; 50-kDa BFA-induced ADP-ribosylated substrate; 50-kDaBFA-inducedADP-ribosylatedsubstrate; AA407280; Bars; BARS-50; brefeldin A-ADP-riboslyated substrate; brefeldin A-ribosylated substrate; CTBP; Ctbp1; CtBP1-L; CtBP1-S; CTBP2; Ctbp3; CtBP3/BARS; C-terminal binding protein 1; C-terminal binding protein 2; C-terminal-binding protein 1; C-terminal-binding protein 2; C-terminal-binding protein 3; C-terminus binding protein 3/brefeldin A (BFA) adenosine diphosphate-ribosylated substrate; D4S115h; D5H4S115; D5H4S115E; D7Ertd45e; gene trap ROSA b-geo 6; Gtrgeo6; ribeye | |
| Rabbit | |
| Sequential Chromatography | |
| RUO | |
| 13016, 13017, 1487, 1488, 29382, 81717 | |
| -20°C | |
| Liquid |
| Immunohistochemistry (Paraffin), Western Blot | |
| 1 mg/mL | |
| PBS with 50% glycerol and 0.02% sodium azide; pH 7.4 | |
| O88712, P56545, P56546, Q13363, Q9EQH5, Q9Z2F5 | |
| CTBP1, CTBP2 | |
| A synthesized peptide derived from human CTBP1(Accession Q13363), corresponding to amino acid residues around phosphorylated Ser158. | |
| 100 μL | |
| Primary | |
| Human, Mouse, Rat | |
| Antibody | |
| IgG |
Product Content Correction
Your input is important to us. Please complete this form to provide feedback related to the content on this product.
Product Title
Spot an opportunity for improvement?Share a Content Correction