Promotional price valid on web orders only. Your contract pricing may differ. Interested in signing up for a dedicated account number?
                
Learn More
Learn More
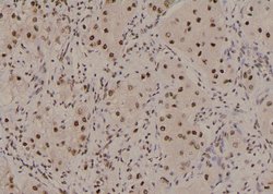
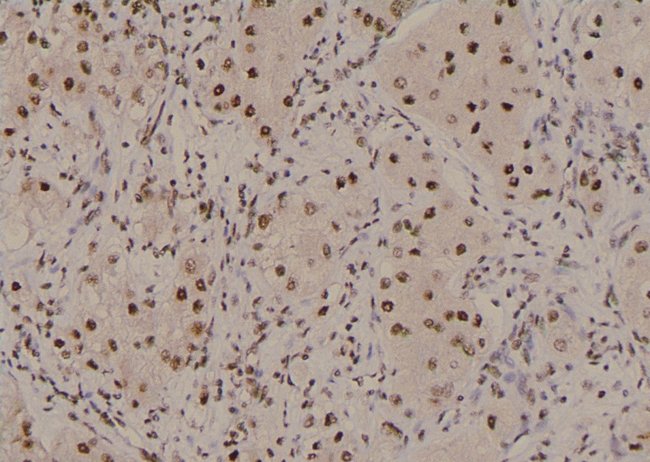
                                    Invitrogen™ Phospho-CTGF (Ser118) Polyclonal Antibody
 
                                    
                                    
                                    
                                    
                                
                            
                            
                            
                            
Rabbit Polyclonal Antibody
Supplier: Invitrogen™ PA5105312
Description
Antibody detects endogenous levels of CTGF only when phosphorylated at Ser118.
Connective Tissue Growth Factor (CTGF), also called CCN2, is a member of the CCN family. CTGF is a secreted protein produced by umbilical veins and vascular endothelial cells. CTGF possesses an Insulin-like Growth Factor (IGF)-binding domain, a thrombospondin type 1 domain, and a cysteine knot region. CTGF plays important roles in the proliferation and differentiation of chondrocytes, induces angiogenesis, and promotes cell adhesion in fibroblasts, endothelial, and epithelial cells. 
            Specifications
| Phospho-CTGF (Ser118) | |
| Polyclonal | |
| Unconjugated | |
| CCN2 | |
| 2-Nov; betaIG-M2; CCN family member 2; Ccn2; Cellular communication network factor 2; connective tissue growth factor; connective tissue growth factor precursor; Connective tissue growth factor precursor (CTGF) (FISP-12 protein) (Hypertrophic chondrocyte-specific protein 24); connective tissue growth-related protein; CTGF; CTGF protein; CTGRP; fibroblast inducible secreated protein; fibroblast inducible secreted protein; Fisp12; fisp-12; Hcs24; H-CTGF; hypertrophic chondrocyte-specific gene product 24; hypertrophic chondrocyte-specific protein 24; IBP-8; IGF-binding protein 8; IGFBP8; IGFBP-8; Insulin-like growth factor-binding protein 8; MGC102839; NOV2; Protein FISP-12; similar to connective tissue growth factor precursor | |
| Rabbit | |
| Sequential chromatography | |
| RUO | |
| 14219, 1490, 64032 | |
| -20°C | |
| Liquid | 
| Immunohistochemistry (Paraffin), Western Blot | |
| 1 mg/mL | |
| PBS with 50% glycerol and 0.02% sodium azide; pH 7.4 | |
| P29268, P29279, Q9R1E9 | |
| CCN2 | |
| A synthesized peptide derived from human CTGF(Accession P29279), corresponding to amino acid residues around phosphorylated Ser118. | |
| 100 μL | |
| Primary | |
| Human, Mouse, Rat | |
| Antibody | |
| IgG | 
Safety and Handling
                                                    
                                                    WARNING: Cancer - www.P65Warnings.ca.gov 
                                                
                                            
                                        
                                    
                                
                    Product Content Correction
                
                Your input is important to us. Please complete this form to provide feedback related to the content on this product.
Product Title
			
            Spot an opportunity for improvement?Share a Content Correction
             
                             
                             
                            