Promotional price valid on web orders only. Your contract pricing may differ. Interested in signing up for a dedicated account number?
Learn More
Learn More
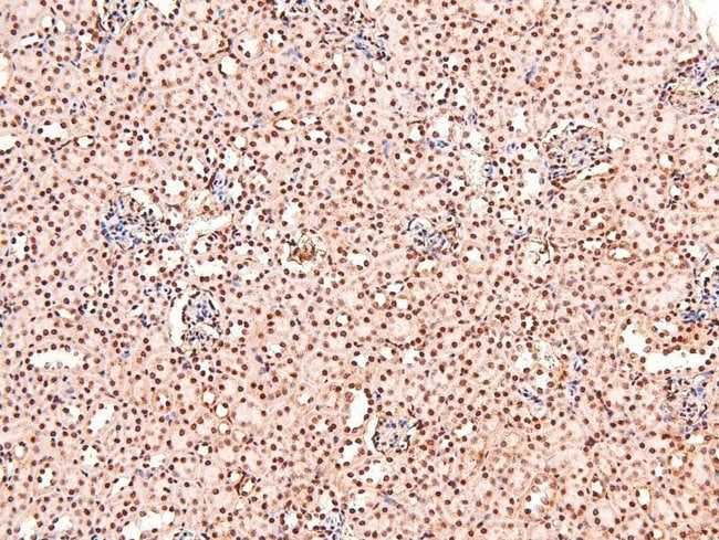
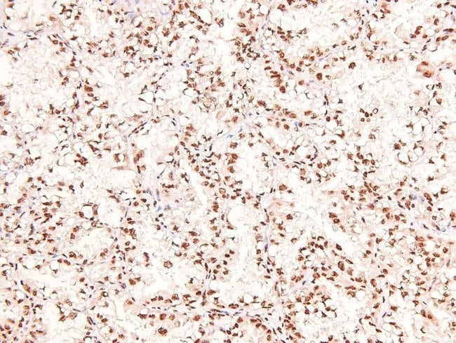
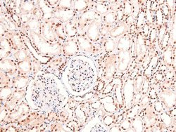
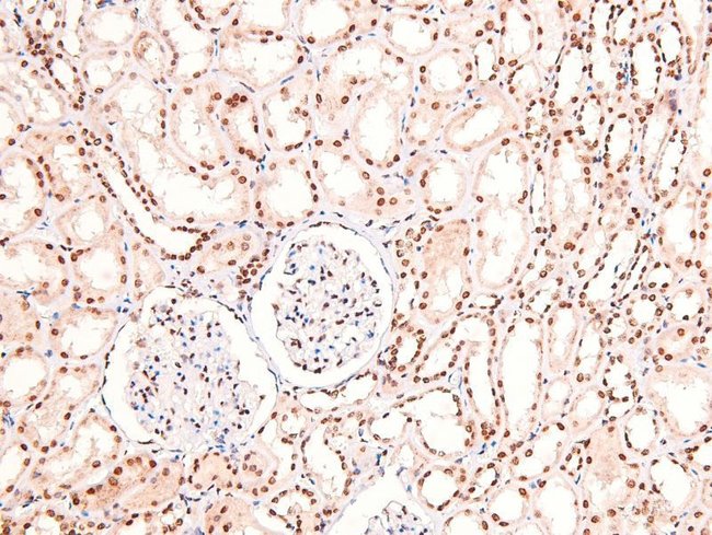
Invitrogen™ Phospho-CUX1 (Ser1237) Polyclonal Antibody

Rabbit Polyclonal Antibody
Supplier: Invitrogen™ PA5105988
Description
Antibody detects endogenous levels of CUTL1 only when phosphorylated at Ser1237.
The protein encoded by this gene is a member of the homeodomain family of DNA binding proteins. It may regulate gene expression, morphogenesis, and differentiation and it may also play a role in the cell cycle progession. Several alternatively spliced transcript variants of this gene have been described, but the full-length nature of some of these variants has not been determined.
Specifications
| Phospho-CUX1 (Ser1237) | |
| Polyclonal | |
| Unconjugated | |
| CUX1 | |
| CASP; CCAAT displacement protein; CDP; CDP/Cut; CDP1; CDP2; Cdpl1; Clox; COY1; cut homolog; cut like homeobox 1; CUTL1; cut-like 1; cut-like homeobox 1; Cux; Cux/CDP; Cux/CDP homeoprotein; CUX1; Cux-1; golgi integral membrane protein 6; GOLIM6; Homeobox protein cut-like 1; homeobox protein cux-1; Kiaa4047; Nbla10317; p100; p110; p200; p75; Protein CASP; putative protein product of Nbla10317 | |
| Rabbit | |
| Sequential chromatography | |
| RUO | |
| 116639, 13047, 1523 | |
| -20°C | |
| Liquid |
| Immunohistochemistry (Paraffin), Western Blot | |
| 1 mg/mL | |
| PBS with 50% glycerol and 0.02% sodium azide; pH 7.4 | |
| P39880, P53565, P70403, Q13948 | |
| CUX1 | |
| A synthesized peptide derived from human CUX1(Accession P39880), corresponding to amino acid residues around phosphorylated Ser1237. | |
| 100 μL | |
| Primary | |
| Human, Mouse, Rat | |
| Antibody | |
| IgG |
Safety and Handling
WARNING: Cancer - www.P65Warnings.ca.gov
Product Content Correction
Your input is important to us. Please complete this form to provide feedback related to the content on this product.
Product Title
Spot an opportunity for improvement?Share a Content Correction