Promotional price valid on web orders only. Your contract pricing may differ. Interested in signing up for a dedicated account number?
Learn More
Learn More
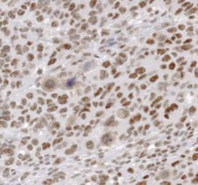
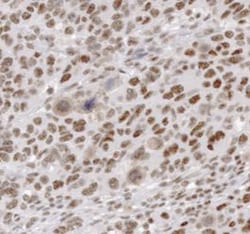
Invitrogen™ Phospho-Cyclin B1 (Ser147) Polyclonal Antibody

Rabbit Polyclonal Antibody
Supplier: Invitrogen™ PA5104796
Description
Antibody detects endogenous levels of Cyclin B1 only when phosphorylated at Serine 147.
Cyclins bind to and regulate the activity of the Cyclin dependent protein kinases (CDKs). Cyclin B1 or CCNB1 is a regulatory protein involved in mitosis. It is essential for the control of the cell cycle at the G2/M transition. Cyclin B1 complexes with p34 (cdc2) to form the maturation-promoting factor (MPF). Two alternative transcripts have been found, a constitutively expressed transcript and a cell cycle-regulated transcript, that is expressed predominantly during G2/M phase. Cyclin B1 is not ubiquitinated during G2/M phase, resulting in its steady accumulation during G2 phase, followed by abrupt APC dependent destruction at the end of mitosis. Destruction of Cyclin B1 is required for cell cycle progression. Cyclin B1 is overexpressed in various cancers, including breast, prostate, and non-small cell lung cancer.
Specifications
| Phospho-Cyclin B1 (Ser147) | |
| Polyclonal | |
| Unconjugated | |
| Ccnb1 | |
| Ccn-2; CCNB; Ccnb1; Ccnb1-rs1; Ccnb1-rs13; Cycb; Cycb1; Cycb1-rs1; Cycb-4; Cycb-5; cyclin B; cyclin B1; cyclin B1, related sequence 1; cyclin B1, related sequence 13; G2/mitotic-specific cyclin B1; G2/mitotic-specific cyclin-B1; I79_013589; OTTHUMP00000221981; OTTHUMP00000223023 | |
| Rabbit | |
| Sequential Chromatography | |
| RUO | |
| 25203, 268697, 891 | |
| -20°C | |
| Liquid |
| Immunohistochemistry (Paraffin), Western Blot, Immunocytochemistry | |
| 1 mg/mL | |
| PBS with 50% glycerol and 0.02% sodium azide; pH 7.4 | |
| P14635, P24860, P30277 | |
| Ccnb1 | |
| A synthesized peptide derived from human CCNB1(Accession P14635), corresponding to amino acid residues around phosphorylated Ser147. | |
| 100 μL | |
| Primary | |
| Human, Mouse, Rat | |
| Antibody | |
| IgG |
Safety and Handling
WARNING: Cancer - www.P65Warnings.ca.gov
Product Content Correction
Your input is important to us. Please complete this form to provide feedback related to the content on this product.
Product Title
Spot an opportunity for improvement?Share a Content Correction