Learn More
Invitrogen™ Phospho-Cyclin D1 (Thr286) Polyclonal Antibody

Description
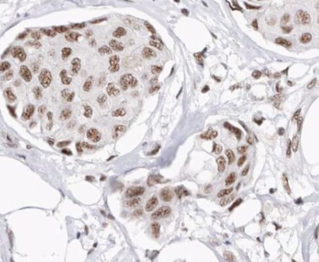
Antibody detects endogenous levels of Cyclin D1 only when phosphorylated at Threonine 286.
Specifications
Specifications
| Antigen | Phospho-Cyclin D1 (Thr286) |
| Applications | Immunohistochemistry (Paraffin), Western Blot, Immunocytochemistry |
| Classification | Polyclonal |
| Concentration | 1 mg/mL |
| Conjugate | Unconjugated |
| Formulation | PBS with 50% glycerol and 0.02% sodium azide; pH 7.4 |
| Gene | CCND1 |
| Gene Accession No. | P24385, P25322, P39948 |
| Gene Alias | AI327039; B-cell CLL/lymphoma 1; B-cell lymphoma 1 protein; BCL1; BCL-1; BCL-1 oncogene; CCND1; CCND1 protein; cD1; cDNA; CycD1; cyclin D1; Cyl-1; D11S287E; FLJ93625; G1/S-specific cyclin-D1; mRNA; PRAD1; PRAD-1; PRAD1 oncogene; U21B31 |
| Gene Symbols | CCND1 |
| Show More |
Safety and Handling
By clicking Submit, you acknowledge that you may be contacted by Fisher Scientific in regards to the feedback you have provided in this form. We will not share your information for any other purposes. All contact information provided shall also be maintained in accordance with our Privacy Policy.