Promotional price valid on web orders only. Your contract pricing may differ. Interested in signing up for a dedicated account number?
Learn More
Learn More
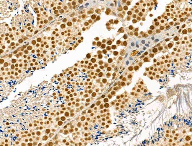
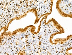
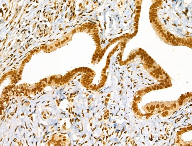
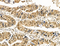
Invitrogen™ Phospho-Cyclin E (Thr73) Polyclonal Antibody

Rabbit Polyclonal Antibody
Supplier: Invitrogen™ PA5105156
Description
Antibody detects endogenous levels of Cyclin E1 only when phosphorylated at Ser73.
Cyclin E belongs to the highly conserved cyclin family, whose members are characterized by a dramatic periodicity in protein abundance through the cell cycle. Cyclins function as regulators of CDK kinases. Different cyclins exhibit distinct expression and degradation patterns which contribute to the temporal coordination of each mitotic event. Cyclin E forms a complex with and functions as a regulatory subunit of CDK2, whose activity is required for cell cycle G1/S transition. This protein accumulates at the G1-S phase boundary and is degraded as cells progress through S phase. Overexpression of this gene has been observed in many tumors, which results in chromosome instability, and thus may contribute to tumorigenesis. This protein was found to associate with, and be involved in, the phosphorylation of NPAT protein (nuclear protein mapped to the ATM locus), which participates in cell-cycle regulated histone gene expression and plays a critical role in promoting cell-cycle progression in the absence of pRB. Two alternatively spliced transcript variants of this gene, which encode distinct isoforms, have been described. Two additional splice variants were reported but detailed nucleotide sequence information is not yet available.
Specifications
| Phospho-Cyclin E (Thr73) | |
| Polyclonal | |
| Unconjugated | |
| CCNE1 | |
| AW538188; Ccne; Ccne1; CycE1; CYCLE; cyclin E; cyclin E1; cyclin Es; cyclin Et; E-S; G1/S-specific cyclin-E1; pCCNE1 | |
| Rabbit | |
| Sequential Chromatography | |
| RUO | |
| 12447, 25729, 898 | |
| -20°C | |
| Liquid |
| Immunohistochemistry (Paraffin), Western Blot | |
| 1 mg/mL | |
| PBS with 50% glycerol and 0.02% sodium azide; pH 7.4 | |
| P24864, P39949, Q61457 | |
| CCNE1 | |
| A synthesized peptide derived from human CCNE1(Accession P24864), corresponding to amino acid residues around phosphorylated Ser73. | |
| 100 μL | |
| Primary | |
| Human, Mouse, Rat | |
| Antibody | |
| IgG |
Product Content Correction
Your input is important to us. Please complete this form to provide feedback related to the content on this product.
Product Title
Spot an opportunity for improvement?Share a Content Correction