Promotional price valid on web orders only. Your contract pricing may differ. Interested in signing up for a dedicated account number?
Learn More
Learn More
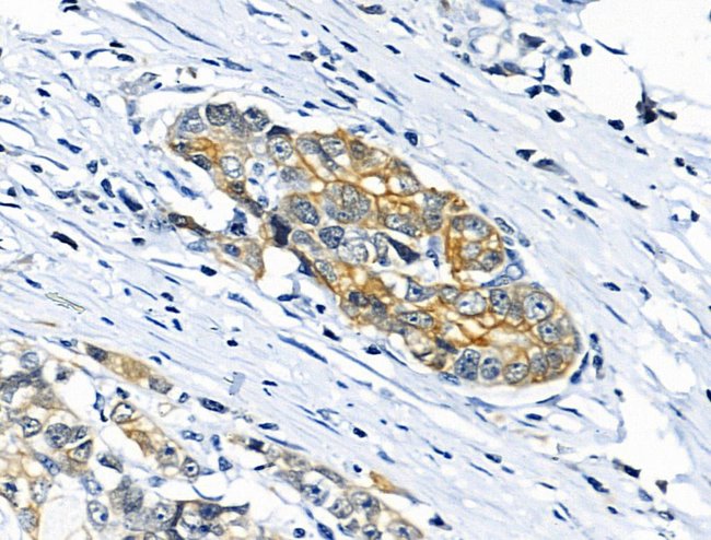
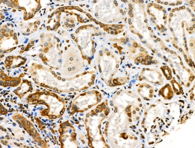
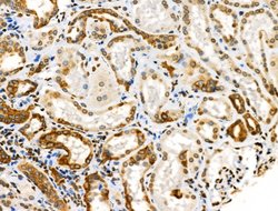
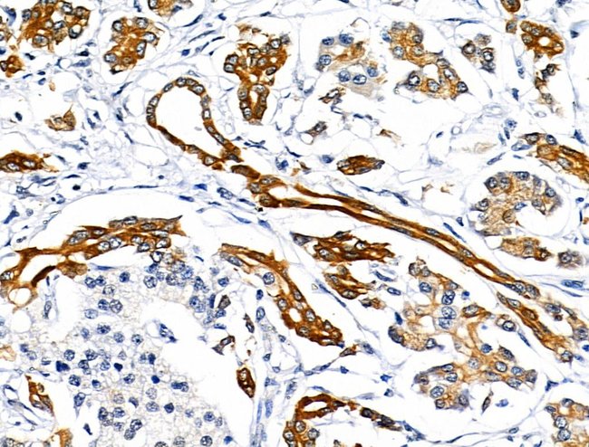
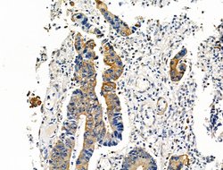
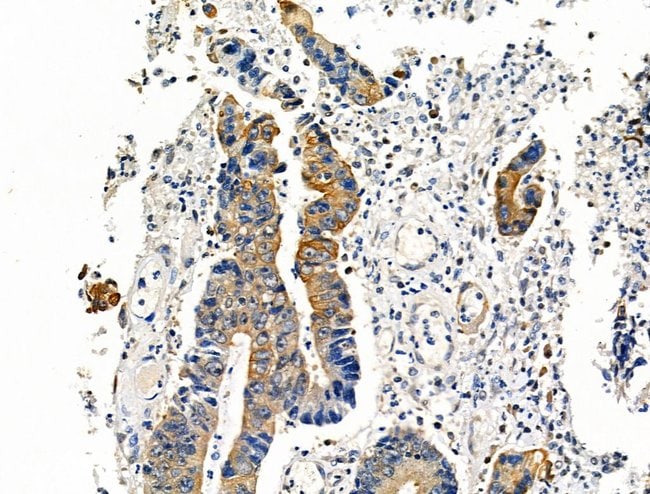
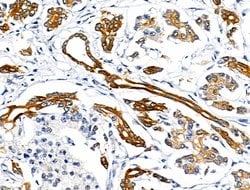
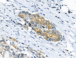
Invitrogen™ Phospho-Cytokeratin 18 (Ser53) Polyclonal Antibody

Rabbit Polyclonal Antibody
Supplier: Invitrogen™ PA5114565
Description
Antibody detects endogenous levels of Cytokeratin 18 only when phosphorylated at Ser53.
Cytokeratin 18 (Keratin 18, KRT18, type I cytoskeletal 18) belongs to the type A (acidic) subfamily of low molecular weight keratins, exists in combination with cytokeratin 8. Tissues from gastrointestinal tract, respiratory tract and urogenital tract, as well as endocrine and exocrine tissues and mesothelial cells are positive for cytokeratin 18. Further, cytokeratin 18 is found primarily in non-squamous epithelia and is present in a majority of adenocarcinomas and ductal carcinomas, but not in squamous cell carcinomas. Hepatocellular carcinomas express only cytokeratins 8 and 18. Mutations in the cytokeratin 18 gene have been linked to cryptogenic cirrhosis. Two transcript variants encoding the same protein have been found for the cytokeratin 18 gene. Cytokeratin subtype expression patterns are used to an increasing extent in the distinction of different types of epithelial malignancies. The cytokeratin antibodies are not only of assistance in the differential diagnosis of tumors using immunohistochemistry on tissue sections, but are also a useful tool in cytopathology and flow cytometric assays.
Specifications
Phospho-Cytokeratin 18 (Ser53) | |
Polyclonal | |
Unconjugated | |
KRT18 | |
cb83; Cell proliferation-inducing gene 46 protein; CK 18; CK18; CK-18; CYK18; cytokeratin 18; cytokeratin endo B; cytokeratin type -1; DAPK-1; Cytokeratin18; cytokeratin-18; dapk1; dorsal aorta proneprin kinesin-1; DreK18; Endo B; I79_023185; K 18; K18; keratin 18; keratin 18, type I; keratin 18a, tandem duplicate 1; keratin complex 1, acidic, gene 18; keratin D; Keratin, type I cytoskeletal 18; Keratin18; keratin-18; Kerd; KRT 18; Krt1-18; KRT18; krt18 {ECO:0000250; krt18a.1; LOC100008885; PIG46; sb:cb83; type I cytoskeletal 18; UniProtKB:P05783}; wu:fa13f02; wu:fb36b04 | |
Rabbit | |
Sequential chromatography | |
RUO | |
16668, 3875 | |
-20°C | |
Liquid |
Immunohistochemistry (Paraffin), Western Blot | |
1 mg/mL | |
PBS with 50% glycerol and 0.02% sodium azide | |
P05783, P05784 | |
KRT18 | |
A synthesized peptide derived from human Cytokeratin 18 around the phosphorylation site of Ser53. | |
100 μL | |
Primary | |
Human, Mouse | |
Antibody | |
IgG |
Safety and Handling
WARNING: Cancer - www.P65Warnings.ca.gov
Product Content Correction
Your input is important to us. Please complete this form to provide feedback related to the content on this product.
Product Title
Spot an opportunity for improvement?Share a Content Correction