Promotional price valid on web orders only. Your contract pricing may differ. Interested in signing up for a dedicated account number?
Learn More
Learn More
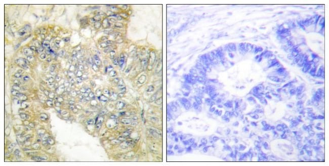
Invitrogen™ Phospho-Desmin (Ser60) Polyclonal Antibody

Rabbit Polyclonal Antibody
Supplier: Invitrogen™ PA538837
Description
Phospho-Desmin (Ser60) Polyclonal Antibody for IHC (P), pep-ELISA
Desmin (approximately 53 kDa) exhibits a high degree of tissue specificity, its expression being predominantly confined to all types of muscle cells (cardiac, skeletal and smooth muscle). Regulation of desmin expression is stage and tissue-specific, since it is induced during terminal development of, for example, skeletal muscle cell differentiation. In skeletal en cardiac muscle cells desmin is localized in the Z-disk region and at the intercalated disk. The expression pattern of desmin in smooth muscle is much more heterogenous. Coexpression of vimentin and desmin has been observed in tumors derived from muscle tissue, i.e. rhabdomyosarcomas and leiomyosarcomas. Furthermore, during myocard dysfunction dramatic changes in the distribution of desmin have been observed.
Specifications
| Phospho-Desmin (Ser60) | |
| Polyclonal | |
| Unconjugated | |
| DES | |
| CMD1I; CSM1; CSM2; DES; Desmin; desmin-like protein; FLJ12025; FLJ39719; FLJ41013; FLJ41793; I79_018932; intermediate filament protein; LGMD2R; MFM1; muscle-specific intermediate filament desmin; muscle-specific intermediate filament protein; mutant desmin p.K241E; SCPNK; similar to desmin | |
| Rabbit | |
| Antigen Affinity Chromatography | |
| RUO | |
| 13346, 1674, 64362 | |
| -20°C | |
| Liquid |
| Immunohistochemistry (Paraffin), Peptide ELISA | |
| 1 mg/mL | |
| Dulbecco's PBS with 50% glycerol and 0.02% sodium azide; pH 7.4 | |
| P17661, P31001, P48675 | |
| DES | |
| A synthetic phosphopeptide derived from human Desmin around the phosphorylation site of Ser60 (R-T-SP-G-G). | |
| 100 μg | |
| Primary | |
| Human, Mouse, Rat | |
| Antibody | |
| IgG |
Safety and Handling
WARNING: Cancer - www.P65Warnings.ca.gov
Product Content Correction
Your input is important to us. Please complete this form to provide feedback related to the content on this product.
Product Title
Spot an opportunity for improvement?Share a Content Correction