Promotional price valid on web orders only. Your contract pricing may differ. Interested in signing up for a dedicated account number?
Learn More
Learn More
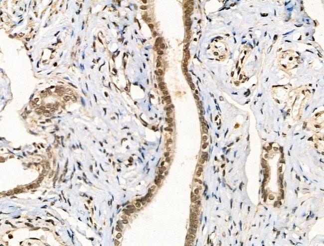
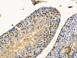
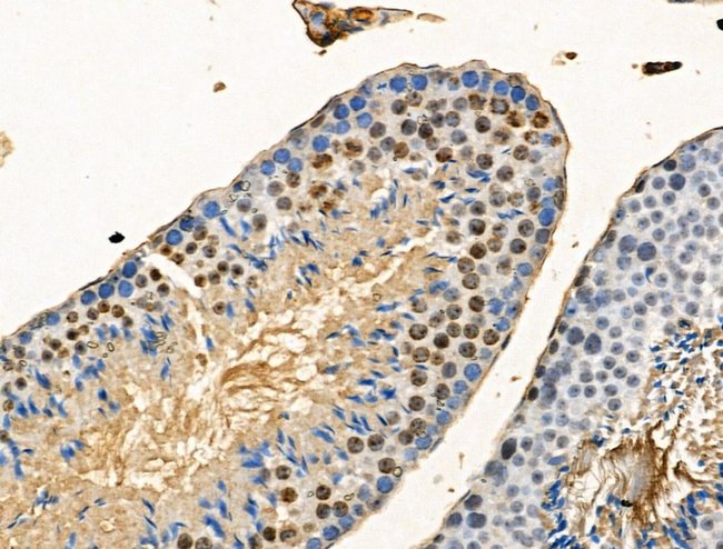
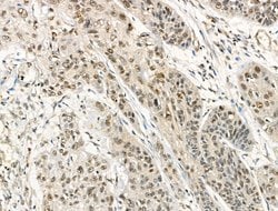
Invitrogen™ Phospho-DNMT1 (Ser714) Polyclonal Antibody

Rabbit Polyclonal Antibody
Supplier: Invitrogen™ PA5114568
Description
Antibody detects endogenous levels of Dnmt1 only when phosphorylated at Ser714.
This gene encodes a subunit of the augmin complex, which regulates centrosome and mitotic spindle integrity, and is necessary for the completion of cytokinesis. The encoded protein was identified by interaction with ubiquitin C-terminal hydrolase 37. Alternative splicing results in multiple transcript variants.
Specifications
| Phospho-DNMT1 (Ser714) | |
| Polyclonal | |
| Unconjugated | |
| DNMT1 | |
| ADCADN; AIM; CXXC9; CXXC-type zinc finger protein 9; DNA (cytosine-5-)-methyltransferase 1; DNA (cytosine-5)-methyltransferase 1; DNA methyltransferase (cytosine-5) 1; DNA methyltransferase 1; DNA methyltransferase HsaI; DNA methyltransferase I; DNA methyltransferase MmuI; DNA MTase HsaI; DNA MTase MmuI; DNA MTase RnoIP; DNMT; Dnmt1; Dnmt1o; FLJ16293; HSN1E; m.HsaI; m.MmuI; m.RnoIP; MCMT; Met1; Met-1; MGC104992; MommeD2; MTase; Uim | |
| Rabbit | |
| Sequential Chromatography | |
| RUO | |
| 13433, 1786 | |
| -20°C | |
| Liquid |
| Immunohistochemistry (Paraffin), Western Blot, Immunocytochemistry | |
| 1 mg/mL | |
| PBS with 50% glycerol and 0.02% sodium azide | |
| P13864, P26358 | |
| DNMT1 | |
| A synthesized peptide derived from human Dnmt1 around the phosphorylation site of Ser714. | |
| 100 μL | |
| Primary | |
| Human, Mouse | |
| Antibody | |
| IgG |
Safety and Handling
WARNING: Cancer - www.P65Warnings.ca.gov
Product Content Correction
Your input is important to us. Please complete this form to provide feedback related to the content on this product.
Product Title
Spot an opportunity for improvement?Share a Content Correction