Learn More
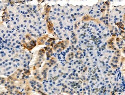
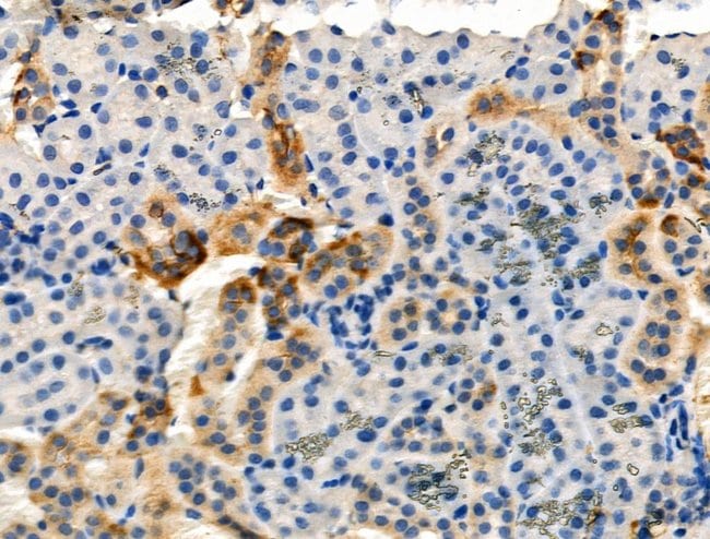
Invitrogen™ Phospho-DOK2 (Tyr139) Polyclonal Antibody

Description
Antibody detects endogenous levels of DOK2 only when phosphorylated at Tyr139.
Specifications
Specifications
| Antigen | Phospho-DOK2 (Tyr139) |
| Applications | Immunohistochemistry (Paraffin), Western Blot, Immunocytochemistry |
| Classification | Polyclonal |
| Concentration | 1 mg/mL |
| Conjugate | Unconjugated |
| Formulation | PBS with 50% glycerol and 0.02% sodium azide; pH 7.4 |
| Gene | DOK2 |
| Gene Accession No. | O60496, O70469 |
| Gene Alias | docking protein 2; docking protein 2, 56kD; docking protein 2, 56kDa; Dok2; Dok-2; DokR; Dok-R; dok-related protein; Downstream of tyrosine kinase 2; Frip; IL-Four Receptor Interacting Protein; IL-four receptor-interacting protein; LOW QUALITY PROTEIN: docking protein 2; docking protein 2; p56 dok-2; p56(dok-2); p56DOK; p56dok-2 |
| Gene Symbols | DOK2 |
| Show More |
Safety and Handling
By clicking Submit, you acknowledge that you may be contacted by Fisher Scientific in regards to the feedback you have provided in this form. We will not share your information for any other purposes. All contact information provided shall also be maintained in accordance with our Privacy Policy.