Promotional price valid on web orders only. Your contract pricing may differ. Interested in signing up for a dedicated account number?
Learn More
Learn More
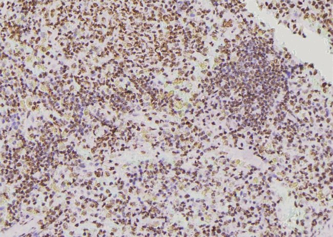
Invitrogen™ Phospho-DOK2 (Tyr402) Polyclonal Antibody

Rabbit Polyclonal Antibody
Supplier: Invitrogen™ PA5105407
Description
Antibody detects endogenous levels of DOK2 only when phosphorylated at Tyr402.
The protein encoded by this gene is constitutively tyrosine phosphorylated in hematopoietic progenitors isolated from chronic myelogenous leukemia patients in the chronic phase. It may be a critical substrate for p210(bcr/abl), a chimeric protein whose presence is associated with CML. This encoded protein binds p120 from CML cells.
Specifications
| Phospho-DOK2 (Tyr402) | |
| Polyclonal | |
| Unconjugated | |
| DOK2 | |
| docking protein 2; docking protein 2, 56kD; docking protein 2, 56kDa; Dok2; Dok-2; DokR; Dok-R; dok-related protein; Downstream of tyrosine kinase 2; Frip; IL-Four Receptor Interacting Protein; IL-four receptor-interacting protein; LOW QUALITY PROTEIN: docking protein 2; docking protein 2; p56 dok-2; p56(dok-2); p56DOK; p56dok-2 | |
| Rabbit | |
| sequential chromatography | |
| RUO | |
| 290361, 9046 | |
| -20°C | |
| Liquid |
| Immunohistochemistry (Paraffin), Western Blot | |
| 1 mg/mL | |
| PBS with 50% glycerol and 0.02% sodium azide; pH 7.4 | |
| O60496 | |
| DOK2 | |
| A synthesized peptide derived from human DOK2(Accession O60496), corresponding to amino acid residues around phosphorylated Tyr402. | |
| 100 μL | |
| Primary | |
| Human, Rat | |
| Antibody | |
| IgG |
Product Content Correction
Your input is important to us. Please complete this form to provide feedback related to the content on this product.
Product Title
Spot an opportunity for improvement?Share a Content Correction