Promotional price valid on web orders only. Your contract pricing may differ. Interested in signing up for a dedicated account number?
Learn More
Learn More
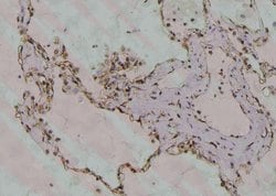
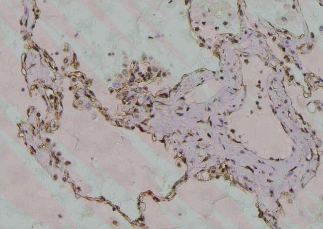
Invitrogen™ Phospho-DR6 (Thr460) Polyclonal Antibody

Rabbit Polyclonal Antibody
Supplier: Invitrogen™ PA5105426
Description
Antibody detects endogenous levels of DR6 only when phosphorylated at Tyr460.
DR6 is widely expressed in human tissues and cell lines. The ligand for DR6 has not been identified. Apoptosis is induced by certain cytokines including TNF and Fas ligand of the TNF family through their death domain containing receptors, TNF-R1 and Fas. Several novel death receptors including DR3, DR4, and DR5 were recently identified. A new death domain containing receptor in the TNFR family was cloned recently and termed DR6 for death receptor-6. Like TNF-R1, DR6 interacts with death domain containing adapter molecule TRADD. Overexpression of DR6 induces apoptosis and activates NF-kappa-B and JNK.
Specifications
| Phospho-DR6 (Thr460) | |
| Polyclonal | |
| Unconjugated | |
| TNFRSF21 | |
| AA959878; BM-018; CD358; Death receptor 6; Death receptor-6; DR6; MGC31965; R74815; sCD358; sDR6; soluble CD358; soluble DR6; TNF receptor superfamily member 21; TNFR-related death receptor 6; TNFR-related death receptor-6; Tnfrsf21; TR7; Tumor necrosis factor receptor superfamily member 21; tumor necrosis factor receptor superfamily, member 21; UNQ437/PRO868 | |
| Rabbit | |
| Sequential chromatography | |
| RUO | |
| 27242, 316256 | |
| -20°C | |
| Liquid |
| Immunohistochemistry (Paraffin), Western Blot, Immunocytochemistry | |
| 1 mg/mL | |
| PBS with 50% glycerol and 0.02% sodium azide; pH 7.4 | |
| D3ZF92, O75509 | |
| TNFRSF21 | |
| A synthesized peptide derived from human TNFRSF21(Accession O75509), corresponding to amino acid residues around phosphorylated Tyr460. | |
| 100 μL | |
| Primary | |
| Human, Rat | |
| Antibody | |
| IgG |
Safety and Handling
WARNING: Cancer - www.P65Warnings.ca.gov
Product Content Correction
Your input is important to us. Please complete this form to provide feedback related to the content on this product.
Product Title
Spot an opportunity for improvement?Share a Content Correction