Promotional price valid on web orders only. Your contract pricing may differ. Interested in signing up for a dedicated account number?
Learn More
Learn More
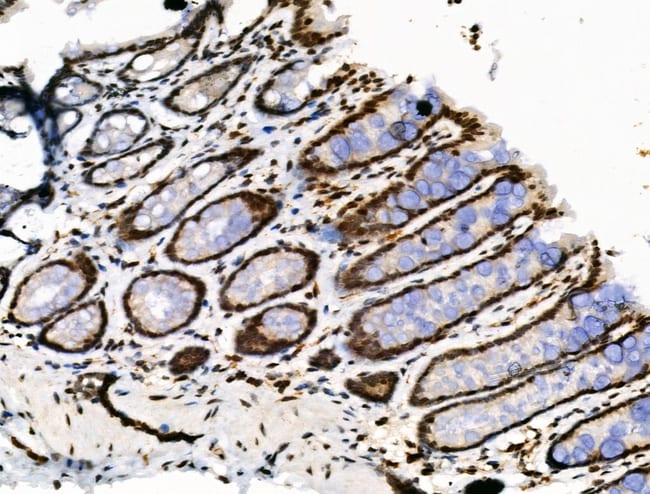
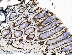
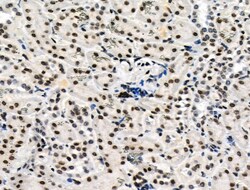
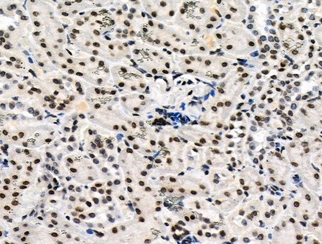
Invitrogen™ Phospho-DUSP16 (Ser446) Polyclonal Antibody

Rabbit Polyclonal Antibody
Supplier: Invitrogen™ PA5106012
Description
Antibody detects endogenous levels of DUSP16 only when phosphorylated at Ser446.
Dual-specificity phosphatases constitute a large heterogeneous subgroup of the type I cysteine-based protein-tyrosine phosphatase superfamily. DUSPs are characterized by their ability to dephosphorylate both tyrosine and serine/threonine residues. DUSP16 belongs to a class of DUSPs, designated MKPs, that dephosphorylate MAPK proteins ERK, JNK, and p38 with specificity distinct from that of individual MKP proteins. MKPs contain a highly conserved C-terminal catalytic domain and an N-terminal Cdc25-like domain. MAPK activation cascades mediate various physiologic processes, including cellular proliferation, apoptosis, differentiation, and stress responses.
Specifications
| Phospho-DUSP16 (Ser446) | |
| Polyclonal | |
| Unconjugated | |
| DUSP16 | |
| 3830417M17Rik; AW558566; D6Ertd213e; dual specificity phosphatase 16; dual specificity protein phosphatase 16; Dusp16; KIAA1700; MAP kinase phosphatase 7; MAP kinase phosphatase-7; map kinase phosphatase-M; MAPK phosphatase-7; MGC129701; MGC129702; mitogen-activated protein kinase phosphatase 7; Mkp7; MKP-7; Mkpm | |
| Rabbit | |
| Sequential Chromatography | |
| RUO | |
| 297682, 70686, 80824 | |
| -20°C | |
| Liquid |
| Immunohistochemistry (Paraffin), Western Blot | |
| 1 mg/mL | |
| PBS with 50% glycerol and 0.02% sodium azide; pH 7.4 | |
| Q9BY84 | |
| DUSP16 | |
| A synthesized peptide derived from human DUSP16(Accession Q9BY84), corresponding to amino acid residues around phosphorylated Ser446. | |
| 100 μL | |
| Primary | |
| Human, Mouse, Rat | |
| Antibody | |
| IgG |
Product Content Correction
Your input is important to us. Please complete this form to provide feedback related to the content on this product.
Product Title
Spot an opportunity for improvement?Share a Content Correction