Promotional price valid on web orders only. Your contract pricing may differ. Interested in signing up for a dedicated account number?
Learn More
Learn More
Invitrogen™ Phospho-ErbB2 (HER-2) (Tyr1005) Polyclonal Antibody

Rabbit Polyclonal Antibody
Supplier: Invitrogen™ PA5105451
Description
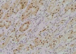
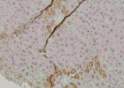
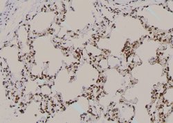
Antibody detects endogenous levels of HER2/ErbB2 only when phosphorylated at Tyr1005.
ErbB2 (HER2) is a receptor tyrosine kinase that is overexpressed in some breast tumors. Herceptin, used in treatment of metastatic Her2-positive cancer, is monoclonal antibody targeting this kinase.
Specifications
| Phospho-ErbB2 (HER-2) (Tyr1005) | |
| Polyclonal | |
| Unconjugated | |
| ERBB2 | |
| avian erythroblastosis oncogene B 2; Avian erythroblastosis viral (v-erb-B2) oncogene homologue 2 (neuro/glioblastoma derived oncogene homolog); CD antigen CD340; CD340; c-erb B2/neu protein; c-erbB2; C-erbB-2; c-neu; epidermal growth factor receptor-related protein; erbb 2; ERBB2; erb-b2; Erbb-2; ErbB2 (pTyr1139); ErbB2 (pY1139); ErbB2 phospho Y1139; erb-b2 receptor tyrosine kinase 2; her 2; HER2; HER-2; HER-2/neu; herstatin; human epidermal growth factor receptor 2; Kiaa3023; metas; Metastatic lymph node gene 19 protein; mKIAA3023; MLN 19; MLN19; NEU; Neu oncogene; NEU proto-oncogene; neuro/glioblastoma derived oncogene homolog; neuroblastoma/glioblastoma derived oncogene homolog; NGL; p185erbB2; p185neu; phospho ErbB2; proto-oncogene c-ErbB-2; Proto-oncogene Neu; receptor tyrosine-protein kinase erbB-2; TKR1; Tyrosine kinase-type cell surface receptor HER2; v-erb-b2 avian erythroblastic leukemia viral oncogene 2; v-erb-b2 avian erythroblastic leukemia viral oncogene homolog 2; v-erb-b2 avian erythroblastic leukemia viral oncoprotein 2; v-erb-b2 erythroblastic leukemia viral oncogene homolog 2, neuro/glioblastoma derived oncogene homolog; v-erb-b2 erythroblastic leukemia viral oncogene homolog 2, neuro/glioblastoma derived oncogene homolog (avian) | |
| Rabbit | |
| Sequential Chromatography | |
| RUO | |
| 13866, 2064, 24337 | |
| -20°C | |
| Liquid |
| Immunohistochemistry (Paraffin), Western Blot, Immunocytochemistry | |
| 1 mg/mL | |
| PBS with 50% glycerol and 0.02% sodium azide; pH 7.4 | |
| P04626, P06494, P70424 | |
| ERBB2 | |
| A synthesized peptide derived from human ERBB2(Accession P04626), corresponding to amino acid residues around phosphorylated Tyr1005. | |
| 100 μL | |
| Primary | |
| Human, Mouse, Rat | |
| Antibody | |
| IgG |
Product Content Correction
Your input is important to us. Please complete this form to provide feedback related to the content on this product.
Product Title
Spot an opportunity for improvement?Share a Content Correction