Promotional price valid on web orders only. Your contract pricing may differ. Interested in signing up for a dedicated account number?
Learn More
Learn More
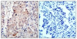
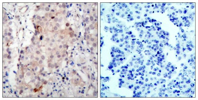
Phospho-ErbB2 (HER-2) (Tyr1221, Tyr1222) Polyclonal Antibody, Invitrogen™
Rabbit Polyclonal Antibody
Supplier: Thermo Scientific PA538136
Description
ErbB2 (also known as Her2 or neu) is a 185 kDa transmembrane receptor tyrosine kinase from the EGFR family that acts to regulate a variety of biological responses including cell growth, differentiation, and tissue development. Ligand binding to the extracellular domain, or overexpression of the receptor leads to phosphorylation on several tyrosine residues within the cytoplasmic domain, and activation. Overexpression or abnormal activation of ErbB2 has been found in a variety of tumors including brain, breast, lung and skin cancer. Autophosphorylation of tyrosine 1139 on ErbB2 allows binding of Grb2 and the Src SH2 domain, which allows activation of the Ras, Raf, ERK1/2 and JAK/STAT signaling pathways, respectively.
Specifications
Phospho-ErbB2 (HER-2) (Tyr1221, Tyr1222) | |
Polyclonal | |
Unconjugated | |
ERBB2 | |
Receptor tyrosine-protein kinase erbB-2, Metastatic lymph node gene 19 protein, MLN 19, Proto-oncogene Neu, Proto-oncogene c-ErbB-2, Tyrosine kinase-type cell surface receptor HER2, p185erbB2, CD340, MLN19, NEU, NGL, c-erb B2/neu protein, herstatin | |
Rabbit | |
Antigen affinity chromatography | |
RUO | |
2064 | |
-20°C | |
Liquid |
Immunohistochemistry (Paraffin), Immunoprecipitation, Western Blot | |
1 mg/mL | |
Dulbecco′s PBS with 150mM NaCl, 50% glycerol and 0.02% sodium azide; pH 7.4 | |
P04626 | |
ERBB2 | |
A synthetic phosphopeptide derived from human HER2 around the phosphorylation site of Tyr1221/1222 (N-L-YP-YP -W) | |
100 μg | |
Primary | |
Human | |
Antibody | |
IgG |
Safety and Handling
WARNING: Cancer - www.P65Warnings.ca.gov
Product Content Correction
Your input is important to us. Please complete this form to provide feedback related to the content on this product.
Product Title
Spot an opportunity for improvement?Share a Content Correction