Promotional price valid on web orders only. Your contract pricing may differ. Interested in signing up for a dedicated account number?
Learn More
Learn More
Invitrogen™ Phospho-Estrogen Receptor alpha (Ser102) Polyclonal Antibody

Rabbit Polyclonal Antibody
Supplier: Invitrogen™ PA537567
Description
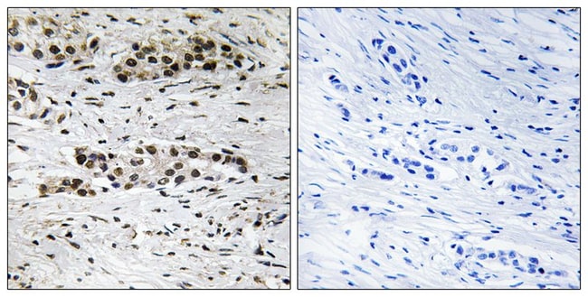
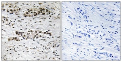
A suggested positive control for Western blot is HUVEC cells; suggested positive control for IHC is human breast carcinoma.
Estrogen Receptors (ER) are members of the steroid/thyroid hormone receptor superfamily of nuclear receptors. The estrogen receptor is a ligand-activated transcription factor, that when bound to estrogen hormone, induces a conformational change that allows dimerization and binding to estrogen response elements (ERE) in DNA. When bound to EREs, ER can positively or negatively regulate gene transcription through the recruitment of coactivator or corepressor proteins. There are two different forms of the estrogen receptor, alpha and beta, encoded by separate genes (ESR1 and ESR2, respectively). Due to alternative RNA splicing, at least 4 estrogen receptor-alpha isoforms are known to exist (Isoform 1 (66 kDa), Isoform 2 (53 kDa), Isoform 3 (47 kDa), Isoform 4 (35 kDa)). Estrogen receptors are widely expressed in different tissue types and are essential for sexual development and reproductive function. They also play a role in other tissues such as bone. Estrogen receptors are involved in pathological processes including breast cancer, endometrial cancer, and osteoporosis.
Specifications
| Phospho-Estrogen Receptor alpha (Ser102) | |
| Polyclonal | |
| Unconjugated | |
| ESR1 | |
| DKFZp686N23123; ER; Er alpha; ER36; ERa; ERalpha; ER-alpha; ERalpha protein; ESR; esr 1; Esr1; esr-1; ESRA; Estr; Estra; Estradiol receptor; estrogen nuclear receptor alpha; Estrogen receptor; estrogen receptor 1; estrogen receptor 1 (alpha); estrogen receptor alpha; estrogen receptor alpha c-terminus splice variant 1-2; estrogen receptor alpha E1-E2-1-2; estrogen receptor alpha E1-N2-E2-1-2; estrogen receptor alpha splice variant, CTERP-1; estrogen receptor alpha splice variant, ERalphaDup5; estrogen receptor alpha splice variant, ERalphai45a; estrogen receptor alpha splice variant, ERalphai45bL; estrogen receptor alpha splice variant, ERalphai45bS; estrogen receptor alpha splice variant, ERalphai45c; estrogen receptor alpha splice variant, ERalphai56; estrogen receptor alpha splice variant, ERalphai67; estrogen receptor alpha variant delta 4; estrogen receptor protein; estrogen receptor, alpha; ESTRR; hER-alpha36; I79_001166; Nr3a1; nuclear receptor; nuclear receptor subfamily 3 group A member 1; RNESTROR; RP1-130E4.1; unnamed protein product | |
| Rabbit | |
| Affinity chromatography | |
| RUO | |
| 13982, 2099, 24890 | |
| -20°C | |
| Liquid |
| Immunohistochemistry (Paraffin), Western Blot | |
| 1 mg/mL | |
| PBS with 50% glycerol and 0.02% sodium azide; pH 7.4 | |
| P03372, P06211, P19785 | |
| ESR1 | |
| Peptide sequence around phosphorylation site of Serine102(L-N-S(p)-V-S) derived from Human Estrogen Receptor-alpha. | |
| 100 μL | |
| Primary | |
| Human, Mouse, Rat | |
| Antibody | |
| IgG |
Safety and Handling
WARNING: Cancer - www.P65Warnings.ca.gov
Product Content Correction
Your input is important to us. Please complete this form to provide feedback related to the content on this product.
Product Title
Spot an opportunity for improvement?Share a Content Correction