Promotional price valid on web orders only. Your contract pricing may differ. Interested in signing up for a dedicated account number?
Learn More

Phospho-Estrogen Receptor alpha (Tyr537) Polyclonal Antibody, Invitrogen™

Rabbit Polyclonal Antibody

Supplier:  Thermo Scientific PA537571

Catalog No. PIPA537571


Description

Description

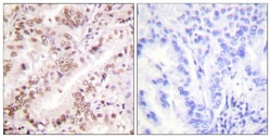
A suggested positive control for Western blot is K562 cells; suggested positive control for IHC is human lung carcinoma.

Phospho-Estrogen Receptor alpha (Tyr537) Polyclonal antibody specifically detects Phospho-Estrogen Receptor alpha (Tyr537) in Human, Mouse samples. It is validated for Immunohistochemistry (Paraffin), Western Blot.
TRUSTED_SUSTAINABILITY
Specifications

Specifications

Phospho-Estrogen Receptor alpha (Tyr537)
Polyclonal
Unconjugated
ESR1
DKFZp686N23123; ER; Er alpha; ER36; ERa; ERalpha; ER-alpha; ERalpha protein; ESR; esr 1; Esr1; esr-1; ESRA; Estr; Estra; Estradiol receptor; estrogen nuclear receptor alpha; Estrogen receptor; estrogen receptor 1; estrogen receptor 1 (alpha); estrogen receptor alpha; estrogen receptor alpha c-terminus splice variant 1-2; estrogen receptor alpha E1-E2-1-2; estrogen receptor alpha E1-N2-E2-1-2; estrogen receptor alpha splice variant, CTERP-1; estrogen receptor alpha splice variant, ERalphaDup5; estrogen receptor alpha splice variant, ERalphai45a; estrogen receptor alpha splice variant, ERalphai45bL; estrogen receptor alpha splice variant, ERalphai45bS; estrogen receptor alpha splice variant, ERalphai45c; estrogen receptor alpha splice variant, ERalphai56; estrogen receptor alpha splice variant, ERalphai67; estrogen receptor alpha variant delta 4; estrogen receptor protein; estrogen receptor, alpha; ESTRR; hER-alpha36; I79_001166; Nr3a1; nuclear receptor; nuclear receptor subfamily 3 group A member 1; RNESTROR; RP1-130E4.1; unnamed protein product
Rabbit
Affinity chromatography
RUO
13982, 2099
-20°C
Liquid
Immunohistochemistry (Paraffin), Western Blot
1 mg/mL
PBS with 50% glycerol and 0.02% sodium azide; pH 7.4
P03372, P19785
ESR1
Peptide sequence around phosphorylation site of tyrosine 537(P-L-Y(p)-D-L) derived from Human Estrogen Receptor-alpha
100 μL
Primary
Human, Mouse
Antibody
IgG
Product Suggestions

Product Suggestions

Videos
Safety and Handling

Safety and Handling

WARNING: Cancer - www.P65Warnings.ca.gov
SDS
Documents

Documents

Product Certifications
Promotions

Promotions

Product Content Correction

Your input is important to us. Please complete this form to provide feedback related to the content on this product.

Product Title

By clicking Submit, you acknowledge that you may be contacted by Fisher Scientific in regards to the feedback you have provided in this form. We will not share your information for any other purposes. All contact information provided shall also be maintained in accordance with our Privacy Policy.

Your feedback has been submitted: Thank you for helping us improve our website.