Promotional price valid on web orders only. Your contract pricing may differ. Interested in signing up for a dedicated account number?
Learn More
Learn More
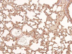
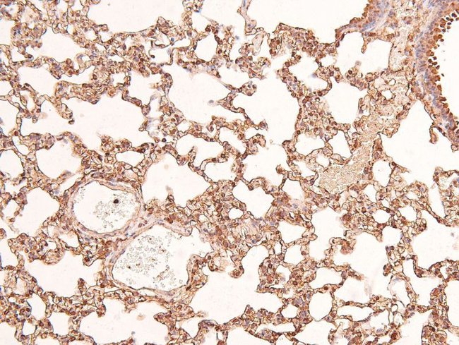
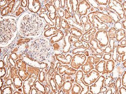
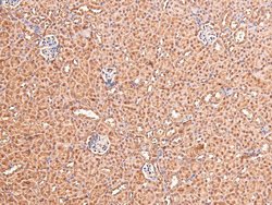
Invitrogen™ Phospho-FGFR1/FGFR2 (Tyr730, Tyr733) Polyclonal Antibody

Rabbit Polyclonal Antibody
Supplier: Invitrogen™ PA5105954
Description
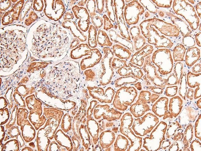
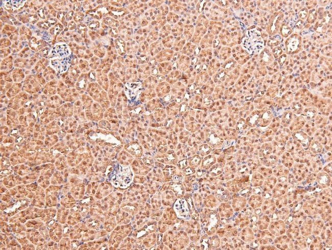
Antibody detects endogenous levels of FGFR1/2 only when phosphorylated at Tyr730/733.
FGFR1 is a member of the fibroblast growth factor receptor family, where amino acid sequence is highly conserved between members and throughout evolution. FGFR family members differ from one another in their ligand affinities and tissue distribution. A full-length representative protein consists of an extracellular region, composed of three immunoglobulin-like domains, a single hydrophobic membrane-spanning segment and a cytoplasmic tyrosine kinase domain. The extracellular portion of the protein interacts with fibroblast growth factors, setting in motion a cascade of downstream signals, ultimately influencing mitogenesis and differentiation. This particular family member binds both acidic and basic fibroblast growth factors and is involved in limb induction.
Specifications
| Phospho-FGFR1/FGFR2 (Tyr730, Tyr733) | |
| Polyclonal | |
| Unconjugated | |
| FGFR1 | |
| AU043015; AW208770; AW556123; bacteria-expressed kinase; basic fibroblast growth factor receptor 1; BBDS; BEK; BEK fibroblast growth factor receptor; BFGFR; bFGF-R; bFGF-R-1; BFR-1; CD331; CD332; CEK; CEK3; CFD1; c-fgr; Eask; ECCL; ECT1; FGF Receptor 2; FGF receptor-1; FGFBR; fgfr 1; Fgfr1; Fgfr-1; FGFR1/PLAG1 fusion; FGFR2; Fgfr-2; Fgfr7; Fgfr-7; Fibroblast growth factor receptor 1; fibroblast growth factor receptor 2; FLG; FLT2; FLT-2; Fms-like tyrosine kinase 2; fms-related tyrosine kinase 2; HBGFR; heparin-binding growth factor receptor; HH2; HRTFDS; Hspy; hydroxyaryl-protein kinase; JWS; KAL2; Keratinocyte growth factor receptor; KGFR; KGFRTr; KSAM; K-SAM; MFR; N-sam; OGD; protein tyrosine kinase, receptor like 14; proto-oncogene c-Fgr; Soluble KGFR; svs; TK14; TK25 | |
| Rabbit | |
| Sequential Chromatography | |
| RUO | |
| 14182, 14183, 2260, 2263, 25022, 79114 | |
| -20°C | |
| Liquid |
| Immunohistochemistry (Paraffin), Western Blot, Immunocytochemistry | |
| 1 mg/mL | |
| PBS with 50% glycerol and 0.02% sodium azide; pH 7.4 | |
| P11362, P16092, P21802, P21803, Q04589 | |
| FGFR1, FGFR2 | |
| A synthesized peptide derived from human FGFR1(Accession P11362), corresponding to amino acid residues around phosphorylated Tyr730. | |
| 100 μL | |
| Primary | |
| Human, Mouse, Rat | |
| Antibody | |
| IgG |
Safety and Handling
WARNING: Cancer - www.P65Warnings.ca.gov
Product Content Correction
Your input is important to us. Please complete this form to provide feedback related to the content on this product.
Product Title
Spot an opportunity for improvement?Share a Content Correction