Promotional price valid on web orders only. Your contract pricing may differ. Interested in signing up for a dedicated account number?
Learn More
Learn More
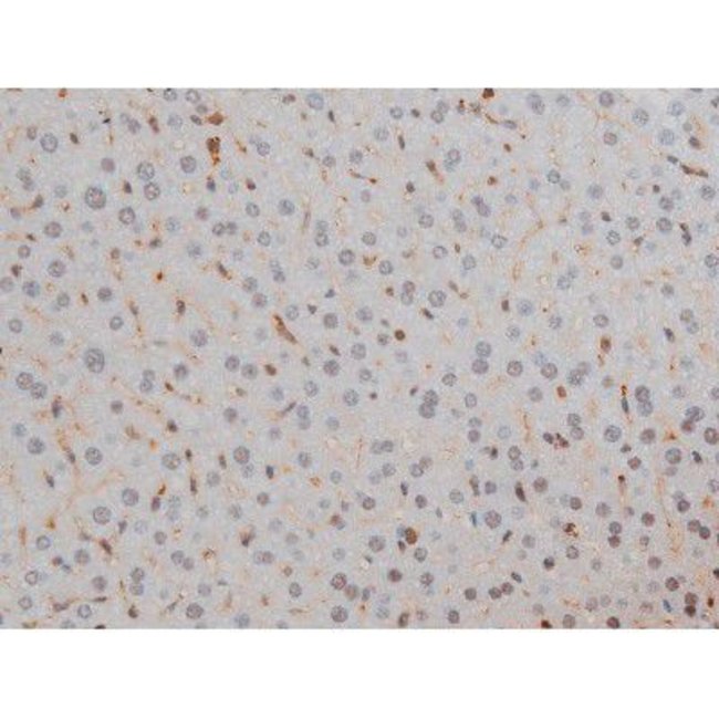
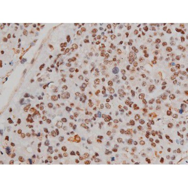
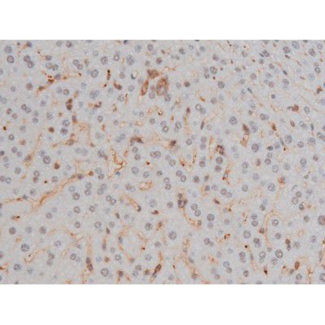
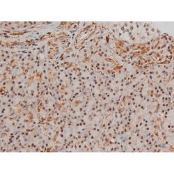
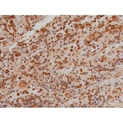
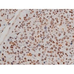
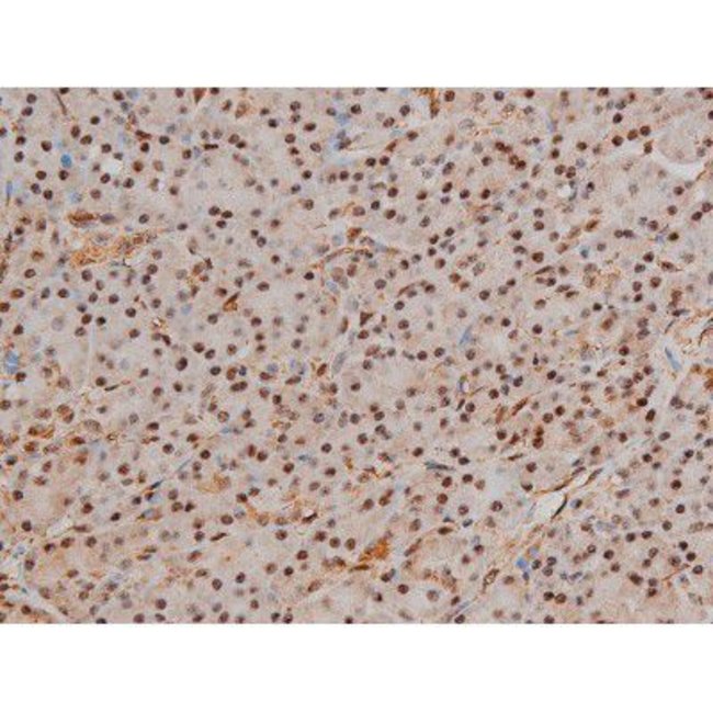
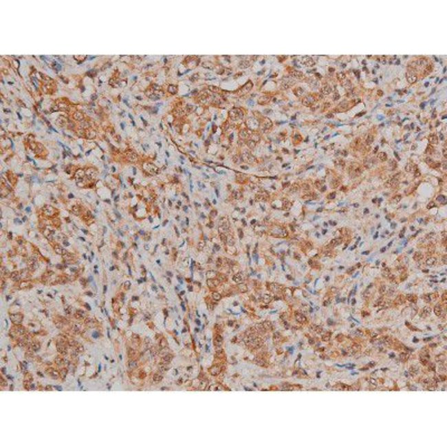
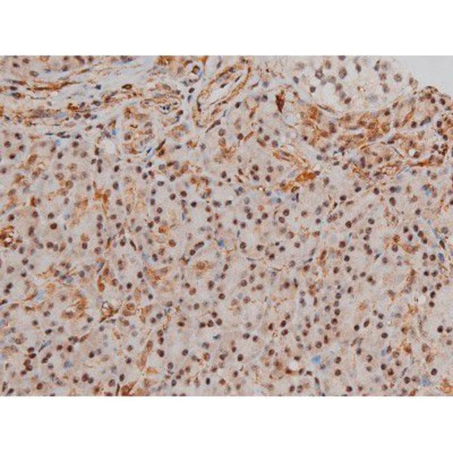
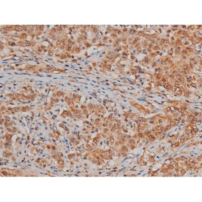
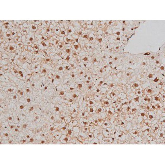
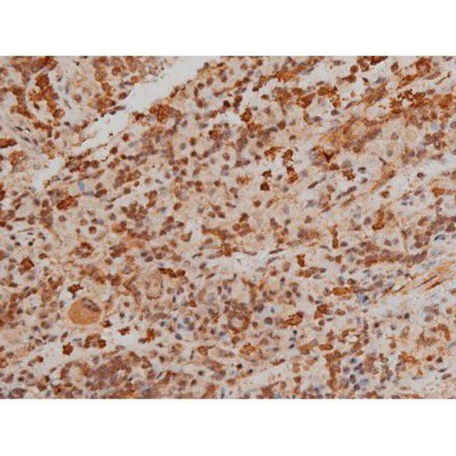
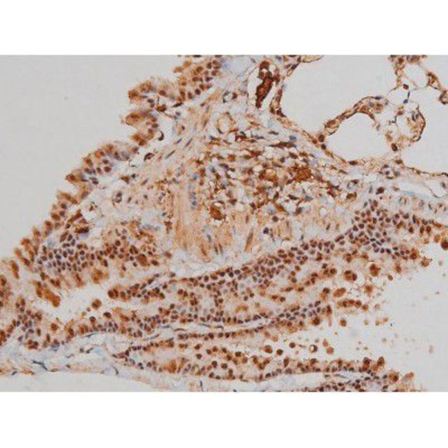
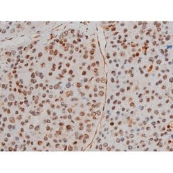
Invitrogen™ Phospho-Filamin A (Ser2152) Polyclonal Antibody

Rabbit Polyclonal Antibody
Supplier: Invitrogen™ PA5104838
Description
Antibody detects endogenous levels of Filamin A only when phosphorylated at Serine 2152.
Filamin functions as a crosslinking protein forming a flexible link between two actin filaments. It is composed of two identical polypeptide chains each joined to the other at one end, with an actin binding site at the other. It is present in human platelets, lymphocytes, fibroblasts and smooth muscle actin.
Specifications
| Phospho-Filamin A (Ser2152) | |
| Polyclonal | |
| Unconjugated | |
| Flna | |
| 450 kDa protein; ABP-280; ABPX; actin binding protein 280; actin-binding protein 280; alpha filamin; alpha-filamin; CSBS; CVD1; dilated pupils 2; Dilp2; Endothelial actin-binding protein; Endothelial actin-binding protein 280); F730004A14Rik; filamin; filamin 1; filamin A; filamin A, alpha; filamin, alpha; Filamin1; filamin-1; FilaminA; Filamin-A; FLN; FLN1; Flna; FLN-A; FMD; GENA 379; gizzard filamin; MNS; NHBP; Non-muscle filamin; OPD; OPD1; OPD2; RGD1560614; XLVD; XMVD | |
| Rabbit | |
| Sequential chromatography | |
| RUO | |
| 192176, 2316, 293860 | |
| -20°C | |
| Liquid |
| Immunohistochemistry (Paraffin), Western Blot, Immunocytochemistry | |
| 1 mg/mL | |
| PBS with 50% glycerol and 0.02% sodium azide; pH 7.4 | |
| P21333, Q8BTM8 | |
| Flna | |
| A synthesized peptide derived from human FLNA(Accession P21333), corresponding to amino acid residues around phosphorylated Ser2152. | |
| 100 μL | |
| Primary | |
| Human, Mouse, Rat | |
| Antibody | |
| IgG |
Safety and Handling
WARNING: Cancer - www.P65Warnings.ca.gov
Product Content Correction
Your input is important to us. Please complete this form to provide feedback related to the content on this product.
Product Title
Spot an opportunity for improvement?Share a Content Correction