Promotional price valid on web orders only. Your contract pricing may differ. Interested in signing up for a dedicated account number?
Learn More
Learn More
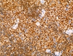
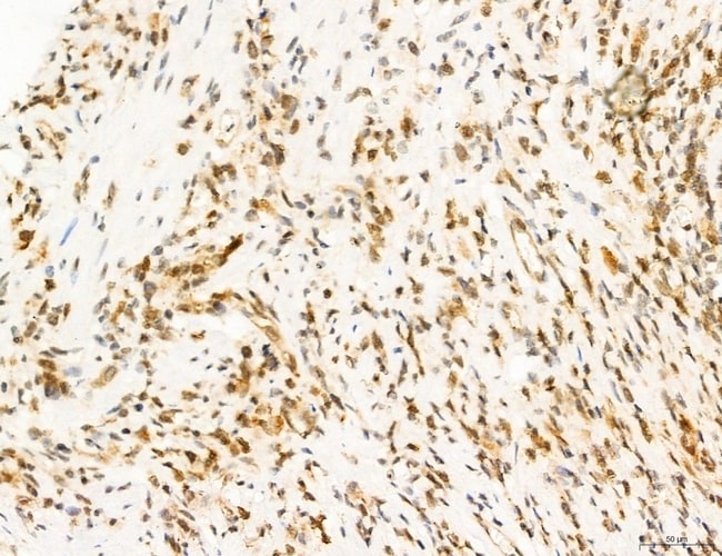
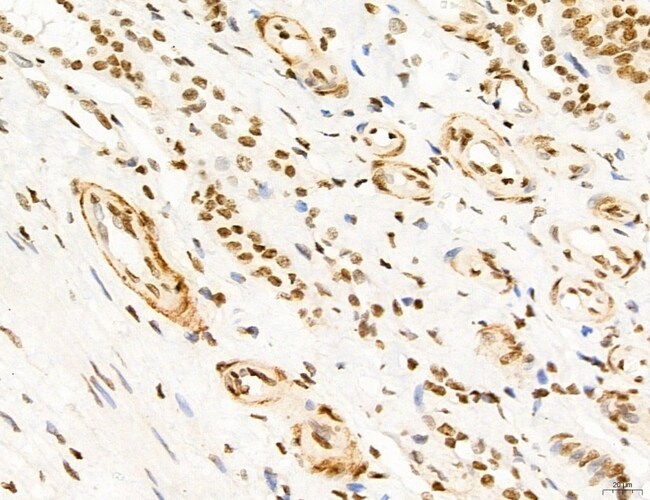
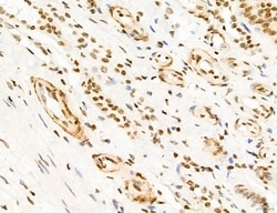
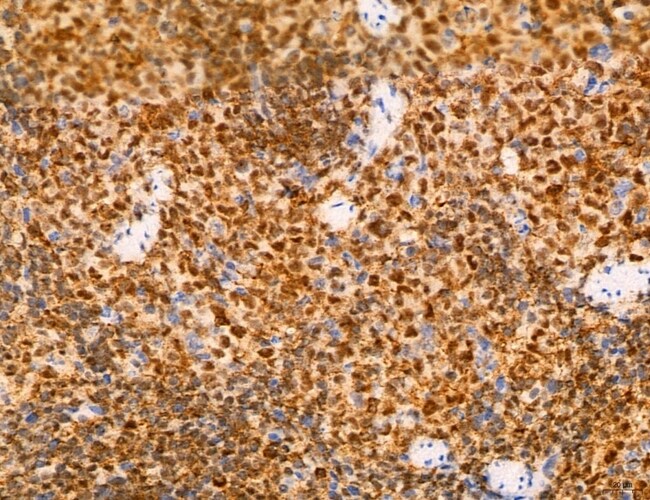
Invitrogen™ Phospho-FLT3 (Tyr631) Polyclonal Antibody

Rabbit Polyclonal Antibody
Supplier: Invitrogen™ PA5105566
Description
Antibody detects endogenous levels of Flt3 / CD135 only when phosphorylated at Tyr630.
FLT3 is a tyrosine protein kinase that is a member of the growth factor receptor tyrosine kinase family. The receptor is activated by binding of the fms-related tyrosine kinase 3 ligand to the extracellular domain, which induces homodimer formation in the plasma membrane leading to autophosphorylation of the receptor. The activated receptor kinase subsequently phosphorylates and activates multiple cytoplasmic effector molecules in pathways involved in apoptosis, proliferation, and differentiation of hematopoietic cells in bone marrow. Mutations that result in the constitutive activation of this receptor result in acute myeloid leukemia and acute lymphoblastic leukemia.
Specifications
Phospho-FLT3 (Tyr631) | |
Polyclonal | |
Unconjugated | |
FLT3 | |
B230315G04; CD135; CD135 antigen; fetal liver kinase 2; Fetal liver kinase-2; FL cytokine receptor; FLK2; Flk-2; FLT3; Flt-3; fms related tyrosine kinase 3; FMS-like tyrosine kinase 3; fms-related tyrosine kinase 3; growth factor receptor tyrosine kinase type III; Ly72; OTTHUMP00000214829; Receptor-type tyrosine-protein kinase FLT3; RP11-153M24.3; stem cell tyrosine kinase 1; STK1; STK-1; tyrosine-protein kinase FLT3; tyrosine-protein kinase receptor flk-2; wmfl | |
Rabbit | |
sequential chromatography | |
RUO | |
140635, 14255, 2322 | |
-20°C | |
Liquid |
Immunohistochemistry (Paraffin), Western Blot | |
1 mg/mL | |
PBS with 50% glycerol and 0.02% sodium azide; pH 7.4 | |
P36888, Q00342 | |
FLT3 | |
A synthesized peptide derived from human FLT3(Accession P36888), corresponding to amino acid residues around phosphorylated Tyr630. | |
100 μL | |
Primary | |
Human, Mouse, Rat, Monkey | |
Antibody | |
IgG |
Safety and Handling
WARNING: Cancer - www.P65Warnings.ca.gov
Product Content Correction
Your input is important to us. Please complete this form to provide feedback related to the content on this product.
Product Title
Spot an opportunity for improvement?Share a Content Correction