Promotional price valid on web orders only. Your contract pricing may differ. Interested in signing up for a dedicated account number?
Learn More
Learn More
Invitrogen™ Phospho-FOXL2 (Ser238) Polyclonal Antibody

Rabbit Polyclonal Antibody
Supplier: Invitrogen™ PA5105190
Description
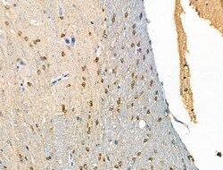
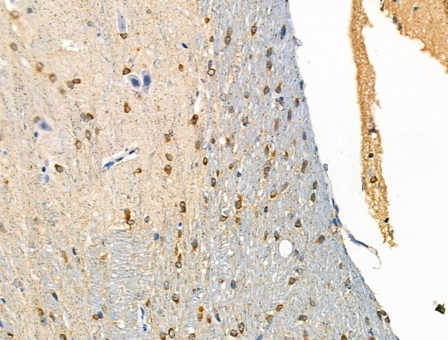
Antibody detects endogenous levels of FOXL2 only when phosphorylated at Ser238.
FOXL2 is a winged helix/forkhead transcription factor that is highly conserved in human, goat, mouse, and certain aquatic species. Given its cross-species conservation, it appears to play a critical role evolutionarily, likely in ovarian differentiation in mammals and in ovarian somatic cell differentiation and in further follicle development and/or maintenance. Immunohistochemical data shows that FOXL2 is a nuclear protein specifically expressed in eyelids and in fetal and adult ovarian follicular cells. It does not undergo any major posttranslational modifications. FOXL2 is also found to be associated with blepharo-phimosis/ptosis/epicanthus inverses syndrome (BPES). There are two forms of BPES. Type I BPES shows eyelid abnormal-ities that are associated with ovarian failure. In type II BPES, only eyelid defects are found. Studies have shown that FOXL2 is expressed in the mesenchyme of developing mouse eyelids and in adult ovarian follicles.
Specifications
| Phospho-FOXL2 (Ser238) | |
| Polyclonal | |
| Unconjugated | |
| FOXL2 | |
| AU045128; Blepharophimosis; BPES; BPES1; epicanthus inversus; forkhead box L2; forkhead box protein L2; forkhead transcription factor; forkhead transcription factor FOXL2; forkhead transcription factor L2; Foxl2; LUSTR2; MGC14393; Pfrk; P-Frk; PINTO; pituitary forkhead factor; POF3; putative transcription factor foxl2 | |
| Rabbit | |
| Sequential chromatography | |
| RUO | |
| 26927, 668 | |
| -20°C | |
| Liquid |
| Immunohistochemistry (Paraffin), Western Blot, Immunocytochemistry | |
| 1 mg/mL | |
| PBS with 50% glycerol and 0.02% sodium azide; pH 7.4 | |
| O88470, P58012 | |
| FOXL2 | |
| A synthesized peptide derived from human FOXL2(Accession P58012), corresponding to amino acid residues around phosphorylated Ser238. | |
| 100 μL | |
| Primary | |
| Human, Mouse | |
| Antibody | |
| IgG |
Product Content Correction
Your input is important to us. Please complete this form to provide feedback related to the content on this product.
Product Title
Spot an opportunity for improvement?Share a Content Correction