Promotional price valid on web orders only. Your contract pricing may differ. Interested in signing up for a dedicated account number?
                
Learn More
Learn More
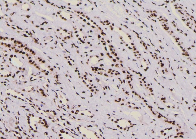
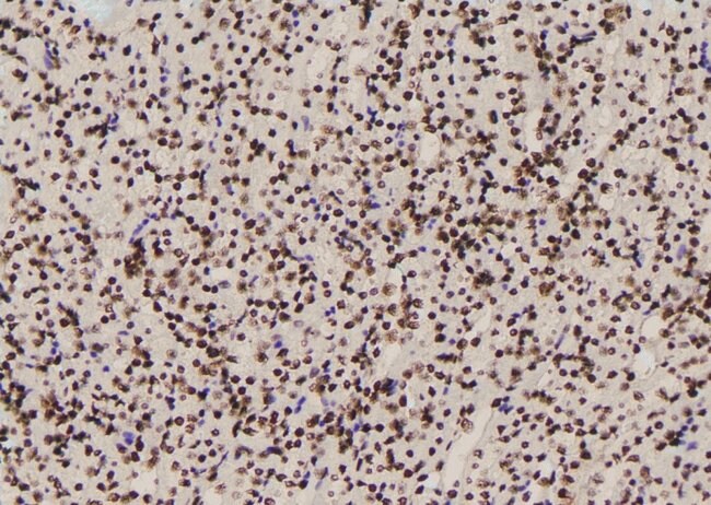
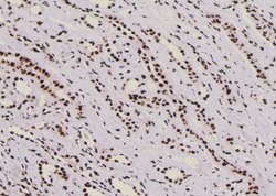
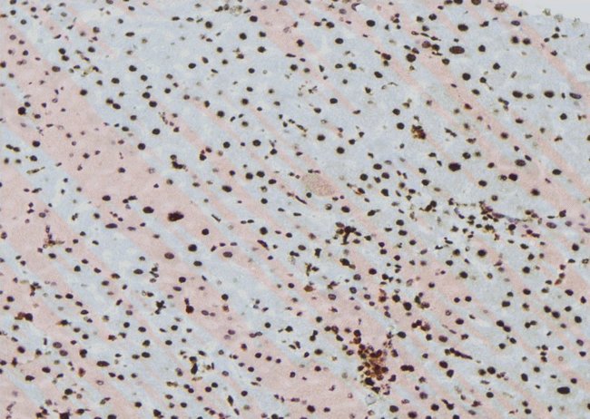
                                    Invitrogen™ Phospho-Fra1 (Thr227) Polyclonal Antibody
                                    
                                    
                                    
                                    
                                
                            
                            
                            
                            
Rabbit Polyclonal Antibody
Supplier: Invitrogen™ PA5105504
Description
Antibody detects endogenous levels of FRA1 only when phosphorylated at Thr227.
The v-Fos oncogene was initially detected in two independent murine osteosarcoma virus isolates and an avian nephroblastoma virus. Members of the c-Fos gene family, including c-Fos, Fos B, Fra-1 and Fra-2, encode nuclear phosphoproteins that are rapidly and transiently induced by a variety of agents and function as transcriptional regulators for several genes. In contrast to c-Jun proteins, which form homo- and heterodimers that bind to specific DNA response elements, c-Fos proteins are only active as heterodimers with members of the Jun gene family. In addition, selected ATF/CREB family members can form leucine zipper dimers with Fos and Jun. Different dimers exhibit differential specificity and affinity for AP-1 and CRE sites.
            Specifications
| Phospho-Fra1 (Thr227) | |
| Polyclonal | |
| Unconjugated | |
| FOSL1 | |
| AW538199; FOS like 1, AP-1 trancription factor subunit; FOS like 1, AP-1 transcription factor subunit; FOS like antigen 1; Fosl1; FOS-like antigen 1; FOS-like antigen-1; fos-related antigen 1; FRA; Fra1; fra-1; HGNC:13718; LOW QUALITY PROTEIN: fos-related antigen 1 | |
| Rabbit | |
| Sequential chromatography | |
| RUO | |
| 14283, 25445, 8061 | |
| -20°C | |
| Liquid | 
| Immunohistochemistry (Paraffin), Western Blot, Immunocytochemistry | |
| 1 mg/mL | |
| PBS with 50% glycerol and 0.02% sodium azide; pH 7.4 | |
| P10158, P15407, P48755 | |
| FOSL1 | |
| A synthesized peptide derived from human FOSL1(Accession P15407), corresponding to amino acid residues around phosphorylated Thr227. | |
| 100 μL | |
| Primary | |
| Human, Mouse, Rat | |
| Antibody | |
| IgG | 
Safety and Handling
                                                    
                                                    WARNING: Cancer - www.P65Warnings.ca.gov 
                                                
                                            
                                        
                                    
                                
                    Product Content Correction
                
                Your input is important to us. Please complete this form to provide feedback related to the content on this product.
Product Title
			
            Spot an opportunity for improvement?Share a Content Correction