Learn More
Invitrogen™ Phospho-Girdin (Ser1417) Polyclonal Antibody

Description
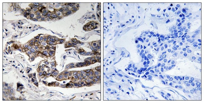
A suggested positive control for IHC is human breast carcinoma.
Specifications
Specifications
| Antigen | Phospho-Girdin (Ser1417) |
| Applications | Immunohistochemistry (Paraffin) |
| Classification | Polyclonal |
| Concentration | 1 mg/mL |
| Conjugate | Unconjugated |
| Formulation | PBS with 50% glycerol and 0.02% sodium azide; pH 7.4 |
| Gene | CCDC88A |
| Gene Accession No. | Q3V6T2, Q5SNZ0 |
| Gene Alias | A430106J12Rik; AI848406; Akt phosphorylation enhancer; AKT-phosphorylation enhancer; Ape; C130096N06Rik; C330012F17Rik; Ccdc88a; coiled coil domain containing 88A; coiled-coil domain containing 88A; coiled-coil domain-containing protein 88A; D130005J21Rik; G alpha-interacting vesicle-associated protein; Galpha-interacting vesicle-associated protein; girders of actin filament; girders of actin filaments; girdin; GIV; Grdn; HkRP1; Hook-related protein 1; KIAA1212; RGD1306694 |
| Gene Symbols | CCDC88A |
| Show More |
Safety and Handling
By clicking Submit, you acknowledge that you may be contacted by Fisher Scientific in regards to the feedback you have provided in this form. We will not share your information for any other purposes. All contact information provided shall also be maintained in accordance with our Privacy Policy.