Promotional price valid on web orders only. Your contract pricing may differ. Interested in signing up for a dedicated account number?
Learn More
Learn More
Invitrogen™ Phospho-GLI3 (Ser664) Polyclonal Antibody

Rabbit Polyclonal Antibody
Supplier: Invitrogen™ PA5105707
Description
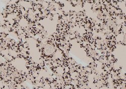
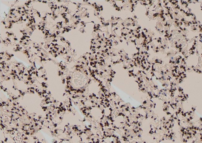
Antibody detects endogenous levels of Gli3 only when phosphorylated at Ser664.
This gene encodes a protein which belongs to the C2H2-type zinc finger proteins subclass of the Gli family. They are characterized as DNA-binding transcription factors and are mediators of Sonic hedgehog (Shh) signaling. The protein encoded by this gene localizes in the cytoplasm and activates patched Drosophila homolog (PTCH) gene expression. It is also thought to play a role during embryogenesis. Mutations in this gene have been associated with several diseases, including Greig cephalopolysyndactyly syndrome, Pallister-Hall syndrome, preaxial polydactyly type IV, and postaxial polydactyly types A1 and B.
Specifications
| Phospho-GLI3 (Ser664) | |
| Polyclonal | |
| Unconjugated | |
| GLI3 | |
| ACLS; add; AI854843; anterior digit pattern deformity; AU023367; Bph; brachyphalangy; extra toes; GCPS; GLI family zinc finger 3; GLI family zinc finger 3 L homeolog; gli3; GLI3 C-terminally truncated form; GLI3 form of 190 kDa; GLI3 form of 83 kDa; GLI3 full length protein; GLI3 full-length protein; gli3.L; GLI3-190; GLI3-83; GLI3FL; GLI-Kruppel family member 3; GLI-Kruppel family member GLI3; GLI-Kruppel family member GLI3 (Greig cephalopolysyndactyly syndrome); glioma-associated oncogene family zinc finger 3; im:7142603; neural specific DNA binding protein; neural-specific DNA-binding protein xGLI3; oncogene GLI3; PAPA; PAP-A; PAPA1; PAPB; Pdn; PHS; polydactyly Nagoya; PPDIV; Transcriptional activator GLI3; Transcriptional repressor GLI3R; XELAEV_18031191mg; xgli3; xGLI-3; Xt; Zinc finger protein GLI3; zinc finger protein GLI3; transcriptional activator GLI3; zinc finger transcription factor Gli3 | |
| Rabbit | |
| Sequential chromatography | |
| RUO | |
| 140588, 14634, 2737 | |
| -20°C | |
| Liquid |
| Immunohistochemistry (Paraffin), Western Blot | |
| 1 mg/mL | |
| PBS with 50% glycerol and 0.02% sodium azide; pH 7.4 | |
| P10071, Q61602 | |
| GLI3 | |
| A synthesized peptide derived from human GLI3(Accession P10071), corresponding to amino acid residues around phosphorylated Ser664. | |
| 100 μL | |
| Primary | |
| Human, Mouse, Rat | |
| Antibody | |
| IgG |
Safety and Handling
WARNING: Cancer - www.P65Warnings.ca.gov
Product Content Correction
Your input is important to us. Please complete this form to provide feedback related to the content on this product.
Product Title
Spot an opportunity for improvement?Share a Content Correction