Promotional price valid on web orders only. Your contract pricing may differ. Interested in signing up for a dedicated account number?
Learn More
Learn More
Invitrogen™ Phospho-GRF-1 (Tyr1105) Polyclonal Antibody

Rabbit Polyclonal Antibody
Supplier: Invitrogen™ PA537788
Description
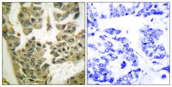
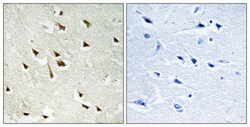
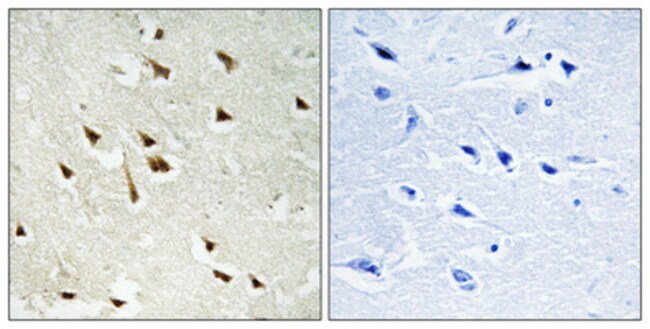
A suggested positive control for Western blot is mouse brain cells.
RNA polymerase (pol) III synthesizes tRNA, 5s rRNA, 7SL RNA and U6 snRNA and is overexpressed in many transformed cell lines and tumors in vivo, since cells must duplicate its protein components before division. Therefore, in order to maintain rapid growth, cells must produce a high level of Pol III transcribed RNA, which requires the presence of the TFIIIB and TFIIIC2 transcription factor complexes. The TFIIIC2 complex is composed of five subunits, TFIIIC220, TFIIIC110, TFIIIC102, TFIIIC90 and TFIIIC63, that are overexpressed in adenovirus transformed cells as well as in malignant cells in vivo, such as ovarian carcinomas. TFIIIC2 recruits RNA pol III and TFIIIB to promoter elements and may be a key component in the deregulation of malignant cells. The TFIIIB complex includes the TATA-binding protein (TBP), TFIIB-related factor 1 (TFIIIB90, BRF1) and TFIIIB, the expression of which are also upregulated in transformed cells. In many carcinomas, the tumor suppressors retinoblastoma (RB) and p53 are inactivated, which affects their ability to bind and inactivate the function of TFIIIB.
Specifications
Phospho-GRF-1 (Tyr1105) | |
Polyclonal | |
Unconjugated | |
ARHGAP35 | |
6430596G11Rik; AI841135; ARHGAP35; GAP-associated protein p190; glucocorticoid receptor DNA binding factor 1; Glucocorticoid receptor DNA-binding factor 1; Glucocorticoid receptor repression factor 1; GRF1; GRF-1; GRLF1; KIAA1722; LOW QUALITY PROTEIN: rho GTPase-activating protein 35; MGC10745; mKIAA1722; P190 RhoGAP; P190A; p190-A; p190ARHOGAP; p190RhoGAP; rho GAP p190A; Rho GTPase activating protein 35; rho GTPase-activating protein 35; Rho-GAP protein; p190-A; GRLF1 | |
Rabbit | |
Affinity Chromatography | |
RUO | |
232906, 2909, 306400 | |
-20°C | |
Liquid |
Immunohistochemistry (Paraffin), Western Blot | |
1 mg/mL | |
PBS with 50% glycerol and 0.02% sodium azide; pH 7.4 | |
P81128, Q91YM2, Q9NRY4 | |
ARHGAP35 | |
Peptide sequence around phosphorylation site of Tyrosine 1105 (N-I-Y(p)-S-V) derived from Human GRF-1. | |
100 μL | |
Primary | |
Human, Mouse, Rat | |
Antibody | |
IgG |
Product Content Correction
Your input is important to us. Please complete this form to provide feedback related to the content on this product.
Product Title
Spot an opportunity for improvement?Share a Content Correction