Learn More
Invitrogen™ Phospho-GSK3B (Ser9) Recombinant Rabbit Monoclonal Antibody (6U0P1)

Description
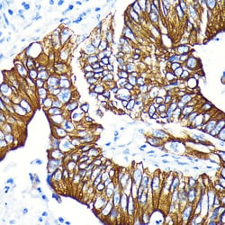
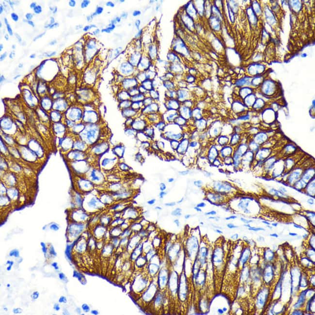
Positive Samples: HeLa, NIH/3T3 Immunogen sequence: TTSFA.
Specifications
Specifications
| Antigen | Phospho-GSK3B (Ser9) |
| Applications | ELISA, Immunohistochemistry (Paraffin), Western Blot |
| Classification | Recombinant Monoclonal |
| Clone | 6U0P1 |
| Concentration | 0.33 mg/mL |
| Conjugate | Unconjugated |
| Formulation | PBS with 0.05% BSA, 50% glycerol and 0.02% sodium azide; pH 7.3 |
| Gene | GSK3B |
| Gene Accession No. | P49841, Q9WV60 |
| Gene Alias | 7330414F15Rik; 8430431H08Rik; C86142; EC 2.7.11.26; FA; Factor A; fb68h05; fk80d11; glycogen synthase kinase 3; glycogen synthase kinase 3 beta; glycogen synthase kinase 3 beta L homeolog; glycogen synthase kinase 3 beta variant 1; glycogen synthase kinase 3 beta variant 2; glycogen synthase kinase 3 beta variant 3; glycogen synthase kinase 3 beta variant 4; glycogen synthase kinase 3 beta variant 5; glycogen synthase kinase 3 beta, genome duplicate a; glycogen synthase kinase-3 beta; glycogen synthase kinase-3 beta splice variant X1; glycogen synthase kinase-3 beta splice variant X2; glycogen synthase kinase-3 beta splice variant X3; GSK 3 beta; GSK 3B; gsk3; GSK-3; GSK3 beta; GSK-3 beta; GSK-3 beta GSK3B; GSK-3[b]; Gsk3b; GSK-3b; gsk3b.L; gsk3ba; gsk3beta; GSK-3beta; gsk3-beta; GSK3beta isoform; intracellular kinase; pp37; serine/threonine-protein kinase GSK3B; wu:fb68h05; wu:fk80d11; XELAEV_180112401mg; xgsk-3; Xgsk-3 protein |
| Show More |
By clicking Submit, you acknowledge that you may be contacted by Fisher Scientific in regards to the feedback you have provided in this form. We will not share your information for any other purposes. All contact information provided shall also be maintained in accordance with our Privacy Policy.