Promotional price valid on web orders only. Your contract pricing may differ. Interested in signing up for a dedicated account number?
Learn More
Learn More
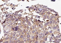
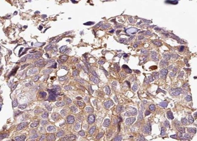
Invitrogen™ Phospho-HDAC5 (Ser498) Polyclonal Antibody

Rabbit Polyclonal Antibody
Supplier: Invitrogen™ PA5105041
Description
Antibody detects endogenous levels of HDAC5 only when phosphorylated at Serine 498.
Histones play a critical role in transcriptional regulation, cell cycle progression, and developmental events. Histone acetylation/deacetylation alters chromosome structure and affects transcription factor access to DNA. The protein encoded by this gene belongs to the class II histone deacetylase/acuc/apha family. It possesses histone deacetylase activity and represses transcription when tethered to a promoter. It coimmunoprecipitates only with HDAC3 family member and might form multicomplex proteins. It also interacts with myocyte enhancer factor-2 (MEF2) proteins, resulting in repression of MEF2-dependent genes. This gene is thought to be associated with colon cancer. Two transcript variants encoding different isoforms have been found for this gene.
Specifications
| Phospho-HDAC5 (Ser498) | |
| Polyclonal | |
| Unconjugated | |
| HDAC5 | |
| AI426555; Antigen NY-CO-9; DKFZp779K1053; FLJ90614; HD5; HD7; HD7b; HD9; HDAC; Hdac4; HDAC5; HDAC-5; HDAC7; HDAC7B; HDAC9; HDAC9B; HDAC9FL; HDRP; histone deacetylase 4; histone deacetylase 5; histone deacetylase mHDA1; KIAA0600; KIAA0744; mHDA1; mKIAA0600; NY-CO-9 | |
| Rabbit | |
| sequential chromatography | |
| RUO | |
| 10014, 15184, 84580 | |
| -20°C | |
| Liquid |
| Immunohistochemistry (Paraffin), Western Blot, Immunocytochemistry | |
| 1 mg/mL | |
| PBS with 50% glycerol and 0.02% sodium azide; pH 7.4 | |
| Q9UQL6, Q9Z2V6 | |
| HDAC5 | |
| A synthesized peptide derived from human HDAC5(Accession Q9UQL6), corresponding to amino acid residues around phosphorylated Ser498. | |
| 100 μL | |
| Primary | |
| Human, Mouse, Rat | |
| Antibody | |
| IgG |
Safety and Handling
WARNING: Cancer - www.P65Warnings.ca.gov
Product Content Correction
Your input is important to us. Please complete this form to provide feedback related to the content on this product.
Product Title
Spot an opportunity for improvement?Share a Content Correction