Learn More
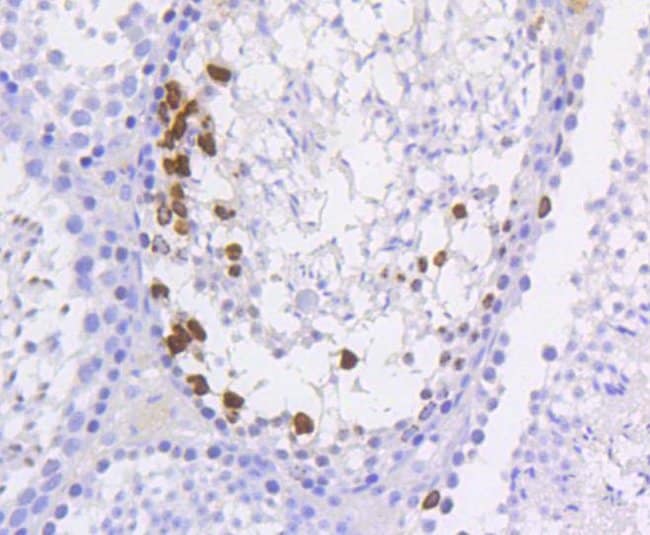
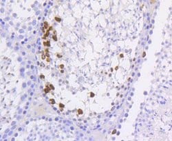
Invitrogen™ Phospho-Histone H3 (Ser10) Recombinant Rabbit Monoclonal Antibody (SA31-01)

Rabbit Recombinant Monoclonal Antibody
Supplier: Invitrogen™ MA541127
Description
Phospho-Histone H3 (Ser10) Recombinant Monoclonal Antibody for ChIP, Flow, ICC/IF, IHC (P), Western Blot
Histone H3 is one of the DNA-binding proteins found in the chromatin of all eukaryotic cells. H3 along with four core histone proteins binds to DNA forming the structure of the nucleosome. Histones play a central role in transcription regulation, DNA repair, DNA replication and chromosomal stability. Post translationally, histones are modified in a variety of ways to either directly change the chromatin structure or allow for the binding of specific transcription factors. The N-terminal tail of histone H3 protrudes from the globular nucleosome core and can undergo several different types of post-translational modification that influence cellular processes. These modifications include the covalent attachment of methyl or acetyl groups to lysine and arginine amino acids and the phosphorylation of serine or threonine.
Specifications
| Phospho-Histone H3 (Ser10) | |
| Recombinant Monoclonal | |
| 1 mg/mL | |
| TBS with 40% glycerol, 0.05% BSA and 0.05% sodium azide; pH 7.4 | |
| P68431, P68433, P84228, Q71DI3 | |
| H3C1, H3C10, H3C12, H3C14, H3C15, H3C2, H3C7, HIST1H3A | |
| Synthetic phospho-peptide corresponding to residues surrounding Ser10 of human Histone H3. | |
| 100 μL | |
| Primary | |
| Human, Mouse, Rat | |
| Antibody | |
| IgG |
| ChIP Assay, Flow Cytometry, Immunohistochemistry (Paraffin), Western Blot, Immunocytochemistry | |
| SA31-01 | |
| Unconjugated | |
| H3C1 | |
| BUR5; CG31613; CG31613-PA; CG33803; CG33806; CG33809; CG33812; CG33815; CG33818; CG33821; CG33824; CG33827; CG33830; CG33833; CG33836; CG33839; CG33842; CG33845; CG33848; CG33851; CG33854; CG33857; CG33860; CG33863; CG33866; CG5825; CG5825-PA; CG5825-PC; CG5825-PD; CG8989; dH3.3A; Dmel\CG31613; Dmel\CG5825; Dmel_CG31613; Dmel_CG5825; fb58e10; h3; H3 histone; H3 histone family, member A; H3 histone family, member I; H3 histone family, member K; H3 histone family, member L; H3 histone family, member M; H3 histone, family 2; H3 histone, family 3A; H3 histone, family 3B; H3 histone, family 3B (H3.3B); H3 histone, family 3B.1; H3 histone, family 3C; H3.1-221; H3.1-291; H3.1-I; H3.2; H3.2-221; H3.2-614; H3.2-615; H3.2-616; h3.2a; H3.3; H3.3 histone A; H3.3 histone B; H3.3a; H3.3B; H3.5; H3.5 histone; H3.A; H3.B; H3/A; H3/b; H3/d; H3/f; H3/i; H3/j; H3/k; H3/l; H3/M; H3/n; H3/o; H3-143; H3-291; H3-3A; H3-3B; H3-5; H3-53; H3-614; H3a; H3b; H3-B; H3C1; H3c10; H3c11; H3C12; H3C2; H3C3; H3C4; H3C6; H3C7; H3C8; H3f; H3-F; H3F1K; H3F2; H3F3; h3f3a; H3F3A protein; H3f3b; h3f3b.1; H3F3C; h3f3d; H3FA; H3FB; H3FC HIST1H3C; H3FD; H3FF; H3FH; H3FI; H3FJ; H3FK; H3FL; H3FM; H3FN; H3g; H3h; H3i; H3L-like histone; h3r; H3S10ph; H4 clustered histone 16; H4 clustered histone 19; H4C16; H4C19; HHT1; HHT2; His3; His3.3; His3.3A; His-3.3A; His3.3A-PA; His3.3A-PC; His3.3A-PD; His3.3B; His3:CG31613; His3:CG31613-PA; His3:CG33803; His3:CG33806; His3:CG33809; His3:CG33812; His3:CG33815; His3:CG33818; His3:CG33821; His3:CG33824; His3:CG33827; His3:CG33830; His3:CG33833; His3:CG33836; His3:CG33839; His3:CG33842; His3:CG33845; His3:CG33848; His3:CG33851; His3:CG33854; His3:CG33857; His3:CG33860; His3:CG33863; His3:CG33866; Hist1; Hist1h2ai; Hist1h2ail; Hist1h2ail1; HIST1H3A; HIST1H3B; Hist1h3c; HIST1H3D; Hist1h3e; Hist1h3f; Hist1h3g; hist1h3g.L; HIST1H3H; HIST1H3I; HIST1H3J; hist2h3; HIST2H3A; Hist2h3b; HIST2H3C; Hist2h3c1; Hist2h3c2; Hist2h3c2-ps; Hist2h3ca1; Hist2h3ca2; HIST2H3D; histone; histone 1, H2ai; histone 1, H3a; histone 1, H3b; histone 1, H3f; histone 1, H3h; histone 2, H3a; histone 2, H3c; histone 2, H3c2; histone 2, H3ca2; Histone 3; histone cluster 1 H3 family member a; histone cluster 1, H2ai; histone cluster 1, H2ai-like; histone cluster 1, H2ai-like1; histone cluster 1, H3a; histone cluster 1, H3b; histone cluster 1, H3f; histone cluster 1, H3g protein L homeolog; histone cluster 1, H3h; Histone Cluster 2 H3a; histone cluster 2, H3a; histone cluster 2, H3c; histone cluster 2, H3c2; histone cluster 2, H3c2, pseudogene; histone cluster 3, H3; histone gene complex 1; histone H3; Histone H3 containing protein; histone H3.1; Histone H3.2; histone H3.2-like; histone H3.3; Histone H3.3A; Histone H3.3B; Histone H3.3C; histone H3.3C-like; histone H3.3-like protein; Histone H3.5; histone H3/a; Histone H3/b; Histone H3/c; Histone H3/d; Histone H3/f; Histone H3/h; Histone H3/i; Histone H3/j; Histone H3/k; histone H3/l; Histone H3/m; histone H3/o; histone H3-like; histone H4; histone variant H3.5; hypothetical protein LOC406269; hypothetical protein LOC550262; I79_014844; lamprey; lpy; M32461; N2749; PH3; PP781; similar to H3 histone, family 3A; SIN2; Unknown (protein for MGC:128166); wu:fa25h06; wu:fa96g06; wu:fb07a08; wu:fb36f01; wu:fb58e10; XELAEV_18028537mg; YBR010W; YBR0201; YNL031C; zgc:110292; zgc:174300; zgc:56193; zgc:56418; zgc:64222; zgc:86731 | |
| Rabbit | |
| Protein A | |
| RUO | |
| 0, 126961, 260423, 291159, 310678, 319150, 319152, 333932, 360198, 679994, 8350, 8356, 8357, 8358, 8968, 97114 | |
| Store at 4°C short term. For long term storage, store at -20°C, avoiding freeze/thaw cycles. | |
| Liquid |
Safety and Handling
By clicking Submit, you acknowledge that you may be contacted by Fisher Scientific in regards to the feedback you have provided in this form. We will not share your information for any other purposes. All contact information provided shall also be maintained in accordance with our Privacy Policy.