Promotional price valid on web orders only. Your contract pricing may differ. Interested in signing up for a dedicated account number?
Learn More
Learn More
Invitrogen™ Phospho-Histone H3 (Thr45) Polyclonal Antibody

Rabbit Polyclonal Antibody
Supplier: Invitrogen™ PA5117224
Description
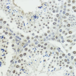
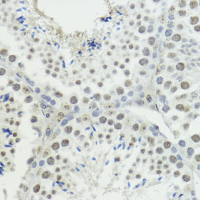
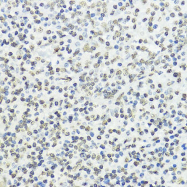
Positive Samples: HeLa, NIH/3T3, C6 Immunogen sequence: PGTVA.
Histone H3 is one of the DNA-binding proteins found in the chromatin of all eukaryotic cells. H3 along with four core histone proteins binds to DNA forming the structure of the nucleosome. Histones play a central role in transcription regulation, DNA repair, DNA replication and chromosomal stability. Post translationally, histones are modified in a variety of ways to either directly change the chromatin structure or allow for the binding of specific transcription factors. The N-terminal tail of histone H3 protrudes from the globular nucleosome core and can undergo several different types of post-translational modification that influence cellular processes. These modifications include the covalent attachment of methyl or acetyl groups to lysine and arginine amino acids and the phosphorylation of serine or threonine.
Specifications
| Phospho-Histone H3 (Thr45) | |
| Polyclonal | |
| Unconjugated | |
| H3C15 | |
| BUR5; CG31613; CG31613-PA; CG33803; CG33806; CG33809; CG33812; CG33815; CG33818; CG33821; CG33824; CG33827; CG33830; CG33833; CG33836; CG33839; CG33842; CG33845; CG33848; CG33851; CG33854; CG33857; CG33860; CG33863; CG33866; CG5825; CG5825-PA; CG5825-PC; CG5825-PD; CG8989; dH3.3A; Dmel\CG31613; Dmel\CG5825; Dmel_CG31613; Dmel_CG5825; fb58e10; h3; H3 histone; H3 histone family, member A; H3 histone family, member I; H3 histone family, member K; H3 histone family, member L; H3 histone family, member M; H3 histone, family 2; H3 histone, family 3A; H3 histone, family 3B; H3 histone, family 3B (H3.3B); H3 histone, family 3B.1; H3 histone, family 3C; H3.1-221; H3.1-291; H3.1-I; H3.2; H3.2-221; H3.2-614; H3.2-615; H3.2-616; h3.2a; H3.3; H3.3 histone A; H3.3 histone B; H3.3a; H3.3B; H3.5; H3.5 histone; H3.A; H3.B; H3/A; H3/b; H3/d; H3/f; H3/i; H3/j; H3/k; H3/l; H3/M; H3/n; H3/o; H3-143; H3-291; H3-3A; H3-3B; H3-5; H3-53; H3-614; H3a; H3b; H3-B; H3C1; H3c10; H3c11; H3C12; H3C2; H3C3; H3C4; H3C6; H3C7; H3C8; H3f; H3-F; H3F1K; H3F2; H3F3; h3f3a; H3F3A protein; H3f3b; h3f3b.1; H3F3C; h3f3d; H3FA; H3FB; H3FC HIST1H3C; H3FD; H3FF; H3FH; H3FI; H3FJ; H3FK; H3FL; H3FM; H3FN; H3g; H3h; H3i; H3L-like histone; h3r; H3S10ph; H4 clustered histone 16; H4 clustered histone 19; H4C16; H4C19; HHT1; HHT2; His3; His3.3; His3.3A; His-3.3A; His3.3A-PA; His3.3A-PC; His3.3A-PD; His3.3B; His3:CG31613; His3:CG31613-PA; His3:CG33803; His3:CG33806; His3:CG33809; His3:CG33812; His3:CG33815; His3:CG33818; His3:CG33821; His3:CG33824; His3:CG33827; His3:CG33830; His3:CG33833; His3:CG33836; His3:CG33839; His3:CG33842; His3:CG33845; His3:CG33848; His3:CG33851; His3:CG33854; His3:CG33857; His3:CG33860; His3:CG33863; His3:CG33866; Hist1; Hist1h2ai; Hist1h2ail; Hist1h2ail1; HIST1H3A; HIST1H3B; Hist1h3c; HIST1H3D; Hist1h3e; Hist1h3f; Hist1h3g; hist1h3g.L; HIST1H3H; HIST1H3I; HIST1H3J; hist2h3; HIST2H3A; Hist2h3b; HIST2H3C; Hist2h3c1; Hist2h3c2; Hist2h3c2-ps; Hist2h3ca1; Hist2h3ca2; HIST2H3D; histone; histone 1, H2ai; histone 1, H3a; histone 1, H3b; histone 1, H3f; histone 1, H3h; histone 2, H3a; histone 2, H3c; histone 2, H3c2; histone 2, H3ca2; Histone 3; histone cluster 1 H3 family member a; histone cluster 1, H2ai; histone cluster 1, H2ai-like; histone cluster 1, H2ai-like1; histone cluster 1, H3a; histone cluster 1, H3b; histone cluster 1, H3f; histone cluster 1, H3g protein L homeolog; histone cluster 1, H3h; Histone Cluster 2 H3a; histone cluster 2, H3a; histone cluster 2, H3c; histone cluster 2, H3c2; histone cluster 2, H3c2, pseudogene; histone cluster 3, H3; histone gene complex 1; histone H3; Histone H3 containing protein; histone H3.1; Histone H3.2; histone H3.2-like; histone H3.3; Histone H3.3A; Histone H3.3B; Histone H3.3C; histone H3.3C-like; histone H3.3-like protein; Histone H3.5; histone H3/a; Histone H3/b; Histone H3/c; Histone H3/d; Histone H3/f; Histone H3/h; Histone H3/i; Histone H3/j; Histone H3/k; histone H3/l; Histone H3/m; histone H3/o; histone H3-like; histone H4; histone variant H3.5; hypothetical protein LOC406269; hypothetical protein LOC550262; I79_014844; lamprey; lpy; M32461; N2749; PH3; PP781; similar to H3 histone, family 3A; SIN2; Unknown (protein for MGC:128166); wu:fa25h06; wu:fa96g06; wu:fb07a08; wu:fb36f01; wu:fb58e10; XELAEV_18028537mg; YBR010W; YBR0201; YNL031C; zgc:110292; zgc:174300; zgc:56193; zgc:56418; zgc:64222; zgc:86731 | |
| Rabbit | |
| Affinity chromatography | |
| RUO | |
| 0, 126961, 260423, 319150, 319152, 333932, 360198, 679994, 8350, 8356, 8357, 8358, 8968, 97114 | |
| -20°C, Avoid Freeze/Thaw Cycles | |
| Liquid |
| ELISA, Immunohistochemistry (Paraffin), Western Blot, Immunocytochemistry | |
| 1.93 mg/mL | |
| PBS with 50% glycerol and 0.05% ProClin 300; pH 7.3 | |
| P68431, P68433, P84228, Q71DI3 | |
| H3C1, H3C10, H3C12, H3C14, H3C15, H3C2, H3C7, HIST1H3A | |
| A synthetic phosphorylated peptide around T45 of human Histone H3 (NP_0035201). | |
| 100 μL | |
| Primary | |
| Human, Mouse, Rat | |
| Antibody | |
| IgG |
Product Content Correction
Your input is important to us. Please complete this form to provide feedback related to the content on this product.
Product Title
Spot an opportunity for improvement?Share a Content Correction