Promotional price valid on web orders only. Your contract pricing may differ. Interested in signing up for a dedicated account number?
Learn More
Learn More
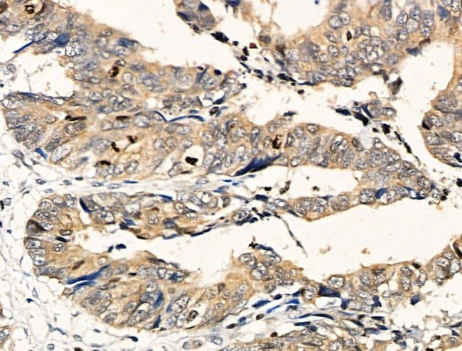
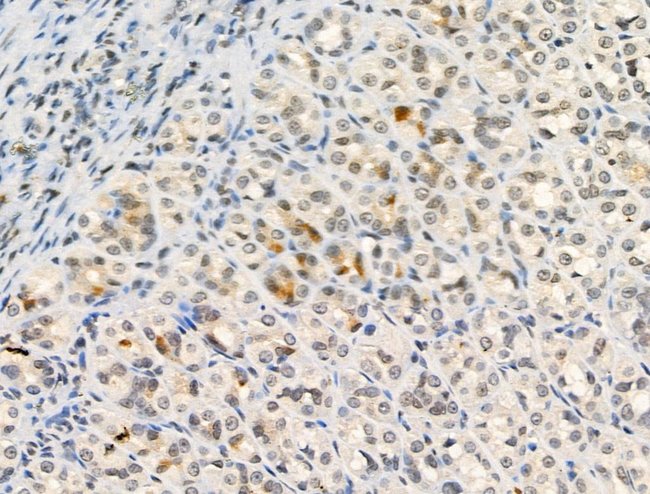
Invitrogen™ Phospho-HSP90 (Tyr627) Polyclonal Antibody

Rabbit Polyclonal Antibody
Supplier: Invitrogen™ PA5114584
Description
Antibody detects endogenous levels of Hsp90 alpha only when phosphorylated at Tyr627.
HSP90 proteins are highly conserved molecular chaperones that have key roles in signal transduction, protein folding, protein degradation, and morphologic evolution. HSP90 proteins normally associate with other cochaperones and play important roles in folding newly synthesized proteins or stabilizing and refolding denatured proteins after stress. There are 2 major cytosolic HSP90 proteins, HSP90AA1, an inducible form, and HSP90AB1 and mitochondria (Chen et al., 2005 ).
Specifications
| Phospho-HSP90 (Tyr627) | |
| Polyclonal | |
| Unconjugated | |
| HSP90AB1 | |
| 86kDa; 89kDa; 90kDa; 90-kDa heat shock protein; 90-kDa heat shock protein alpha; 90-kDa heat shock protein beta; AL022974; AL024080; AL024147; C81438; D6S182; EL52; epididymis luminal secretory protein 52; epididymis secretory sperm binding protein Li 65p; heat shock 84 kDa; Heat shock 86 kDa; heat shock 90 kDa protein; heat shock 90kD protein 1, alpha; heat shock 90kD protein 1, alpha-like 4; heat shock 90kD protein 1, beta; heat shock 90kD protein, alpha-like 4; heat shock 90kDa protein 1, alpha; heat shock 90kDa protein 1, beta; Heat shock protein; heat shock protein 1, alpha; heat shock protein 1, beta; heat shock protein 86; heat shock protein 90 alpha (cytosolic), class B member 1; heat shock protein 90 alpha family class A member 1; heat shock protein 90 alpha family class B member 1; heat shock protein 90 beta; heat shock protein 90 kDa; heat shock protein 90, alpha (cytosolic), class A member 1; heat shock protein 90kDa alpha (cytosolic), class A member 1; heat shock protein 90kDa alpha (cytosolic), class B member 1; heat shock protein 90kDa alpha family class A member 1; heat shock protein 90kDa alpha family class B member 1; heat shock protein HSP 90-alpha; Heat shock protein HSP 90-beta; heat shock protein, 1; heat shock protein, 84 kDa 1; heat shock protein, 86 kDa 1; heat shock protein, 89 kDa; HEL-S-65p; HSP; HSP 84; HSP 86; HSP 90; hsp4; HSP84; Hsp84-1; HSP86; Hsp86-1; Hsp89; HSP89A; Hsp90; HSP90A; Hsp90aa1; Hsp90ab1; HSP90B; HSP90-BETA; HSP90N; HSPC1; HSPC2; HSPCA; HSPCA protein; HSPCAL1; HSPCAL4; HSPCB; HSPN; LAP2; LAP-2; lipopolysaccharide-associated protein 2; LPS-associated protein 2; renal carcinoma antigen NY-REN-38; retinal degeneration slow protein; TSTA; Tumor-specific transplantation 84 kDa antigen; tumor-specific transplantation 86 kDa antigen; Unknown (protein for IMAGE:7943063) | |
| Rabbit | |
| Sequential Chromatography | |
| RUO | |
| 15516, 15519, 299331, 301252, 3320, 3326 | |
| -20°C | |
| Liquid |
| Immunohistochemistry (Paraffin), Western Blot | |
| 1 mg/mL | |
| PBS with 50% glycerol and 0.02% sodium azide | |
| P07900, P07901, P08238, P11499, P34058, P82995 | |
| HSP90AA1, HSP90AB1 | |
| A synthesized peptide derived from human Hsp90 alpha around the phosphorylation site of Tyr627. | |
| 100 μL | |
| Primary | |
| Human, Mouse, Rat, Monkey | |
| Antibody | |
| IgG |
Safety and Handling
WARNING: Cancer - www.P65Warnings.ca.gov
Product Content Correction
Your input is important to us. Please complete this form to provide feedback related to the content on this product.
Product Title
Spot an opportunity for improvement?Share a Content Correction