Promotional price valid on web orders only. Your contract pricing may differ. Interested in signing up for a dedicated account number?
Learn More
Learn More
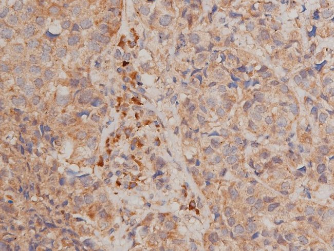
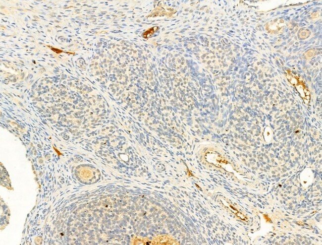
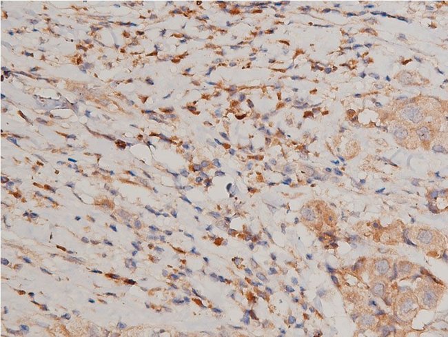
Invitrogen™ Phospho-IKK alpha/beta (Ser176, Ser177) Polyclonal Antibody

Rabbit Polyclonal Antibody
Supplier: Invitrogen™ PA5104697
Description
Antibody detects endogenous levels of IKK alpha/ beta only when phosphorylated at Ser176/Ser177.
IKK alpha/beta is encoded by CHUK (conserved helix-loop-helix ubiquitous kinase) and IKKB (inhibitor of kappa light polypeptide gene enhancer in B-cells) gene located in chromosome 10 and 8 respectively in humans. Upon stimulation by agents that activate the NF-kB pathway such as TNF alpha, the two subunits of IKK complex, IKK alpha and IKK -beta alongside a regulator NEMO (IKK gamma) phosphorylates IkB proteins. This targets the later for ubiquitin mediated degradation and phosphorylation of NF-kB leading to subsequent translocation to the nucleus. Phosphorylation at serine 176 and 180 located in the activation loop causes a confirmation change that is required for the activation of the kinases.
Specifications
| Phospho-IKK alpha/beta (Ser176, Ser177) | |
| Polyclonal | |
| Unconjugated | |
| CHUK | |
| AI132552; AI256658; AIM-1; CHUK; Chuk1; component of inhibitor of nuclear factor kappa B kinase complex; conserved helix-loop-helix ubiquitous kinase; EC 2.7.11.10; Fbx24; Fbxo24; I kappa B kinase 1; i kappa-B kinase alpha; IkappaB kinase; I-kappa-B kinase 1; I-kappa-B kinase 2; IkappaB kinase alpha; I-kappa-B kinase alpha; I-kappa-B kinase-alpha; I-kappa-B-kinase beta; IkB kinase alpha subunit; IkB kinase-alpha; IkB kinase-beta; ikBKA; Ikbkb; IKK alpha; IKK[b]; IKK1; IKK2; IKK-2; IKKA; IKK-A; IKK-a kinase; IKK-alpha; Ikkb; IKK-B; IKKbeta; IKK-beta; IMD15; inhibitor of kappa light polypeptide gene enhancer in B-cells, kinase beta; inhibitor of kappaB kinase beta; inhibitor of nuclear factor kappa B kinase beta subunit; inhibitor of nuclear factor kappa B kinase subunit beta; inhibitor of nuclear factor kappa-B kinase subunit alpha; Inhibitor of nuclear factor kappa-B kinase subunit beta; NFKBIKA; NFKBIKB; Nuclear factor NFkappaB inhibitor kinase alpha; nuclear factor NF-kappa-B inhibitor kinase alpha; Nuclear factor NF-kappa-B inhibitor kinase beta; TCF16; TCF-16; TCF17; Transcription factor 16 | |
| Rabbit | |
| Sequential Chromatography | |
| RUO | |
| 1147, 12675, 16150, 309361, 3551, 84351 | |
| -20°C | |
| Liquid |
| Immunohistochemistry (Paraffin), Western Blot, Immunocytochemistry | |
| 1 mg/mL | |
| PBS with 50% glycerol and 0.02% sodium azide; pH 7.4 | |
| O14920, O15111, O88351, Q60680, Q9QY78 | |
| CHUK, Ikbkb | |
| A synthesized peptide derived from human CHUK(Accession O15111), corresponding to amino acid residues around phosphorylated Ser176. | |
| 100 μL | |
| Primary | |
| Human, Mouse, Rat | |
| Antibody | |
| IgG |
Safety and Handling
WARNING: Cancer - www.P65Warnings.ca.gov
Product Content Correction
Your input is important to us. Please complete this form to provide feedback related to the content on this product.
Product Title
Spot an opportunity for improvement?Share a Content Correction