Learn More
Invitrogen™ Phospho-JAK2 (Tyr1007) Polyclonal Antibody

Description
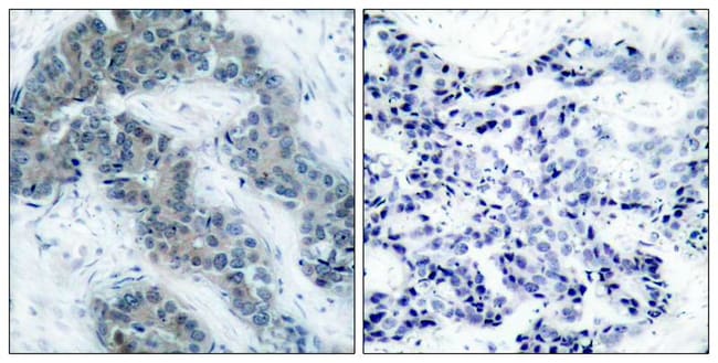
A suggested positive control for Western blot is HT29 cells; suggested positive control for IHC is human breast carcinoma.
Specifications
Specifications
| Antigen | Phospho-JAK2 (Tyr1007) |
| Applications | Immunohistochemistry (Paraffin), Western Blot |
| Classification | Polyclonal |
| Concentration | 1 mg/mL |
| Conjugate | Unconjugated |
| Formulation | PBS with 50% glycerol and 0.02% sodium azide; pH 7.4 |
| Gene | JAK2 |
| Gene Accession No. | O60674, Q62120, Q62689 |
| Gene Alias | EC 2.7.10.2; Fd17; JAK 2; JAK2; JAK-2; Janus kinase 2; Janus kinase 2 (a protein tyrosine kinase); JTK 10; JTK10; kinase Jak2; THCYT3; Tyrosine-protein kinase JAK2 |
| Gene Symbols | JAK2 |
| Show More |
By clicking Submit, you acknowledge that you may be contacted by Fisher Scientific in regards to the feedback you have provided in this form. We will not share your information for any other purposes. All contact information provided shall also be maintained in accordance with our Privacy Policy.