Promotional price valid on web orders only. Your contract pricing may differ. Interested in signing up for a dedicated account number?
Learn More
Learn More
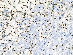
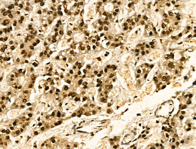
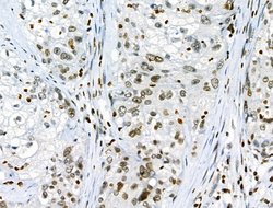
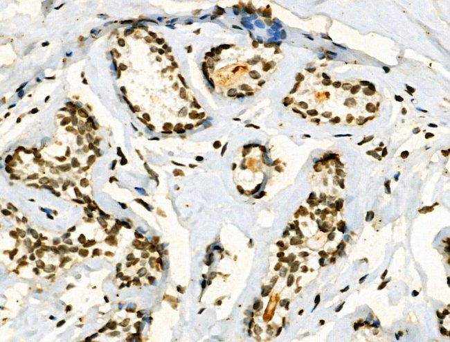
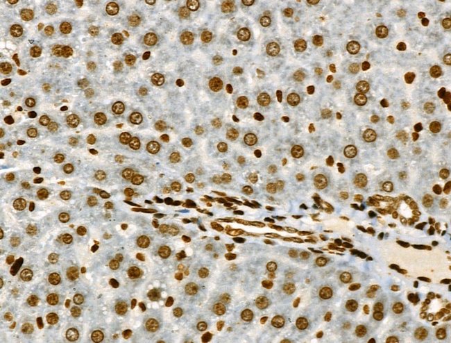
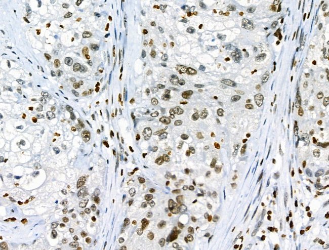
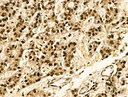
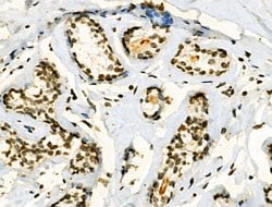
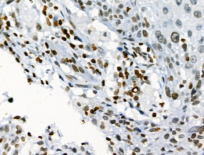
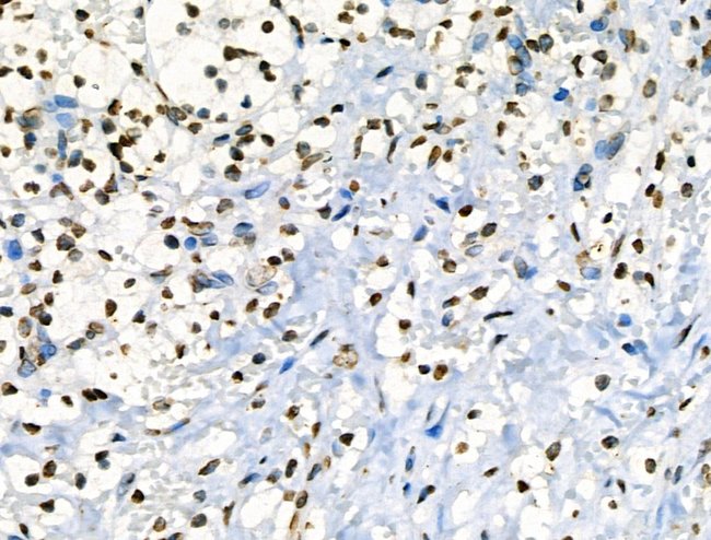
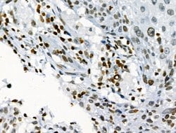
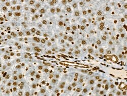
Invitrogen™ Phospho-JAK2 (Tyr1008) Polyclonal Antibody

Rabbit Polyclonal Antibody
Supplier: Invitrogen™ PA5114594
Description
Antibody detects endogenous levels of Jak2 only when phosphorylated at Tyr1008.
Janus kinase 2 (JAK2) is a protein tyrosine kinase involved in a specific subset of cytokine receptor signaling pathways and is mutated in polycythemia vera. This kinase contains the catalytic domain (JH1) of JAK2. The activation of JAKs can lead to the phosphorylation of STAT (signal transducers and activatiors of transcription) proteins, which dimerize and translocate to the nucleus. Once translocated to the nucleus, the STAT proteins can modify transcription of numerous genes, including interferon-stimulated genes. JAK2 is required for the IFN gamma-receptor complex initiation and JAK1 functions as an amplifier. Some studies have suggested that the role of JAK2 might be performed by Tyk2 and JAK3, if they were positioned correctly within the IFN gamma-receptor complex. Mutations affecting JAK2 can cause Budd-Chiari syndrome, Polycythemia vera, Thrombocythemia 3, myelofibrosis, or Acute myelogenous leukemia.
Specifications
Phospho-JAK2 (Tyr1008) | |
Polyclonal | |
Unconjugated | |
JAK2 | |
EC 2.7.10.2; Fd17; JAK 2; JAK2; JAK-2; Janus kinase 2; Janus kinase 2 (a protein tyrosine kinase); JTK 10; JTK10; kinase Jak2; THCYT3; Tyrosine-protein kinase JAK2 | |
Rabbit | |
Sequential Chromatography | |
RUO | |
16452, 24514, 3717 | |
-20°C | |
Liquid |
Immunohistochemistry (Paraffin), Western Blot | |
1 mg/mL | |
PBS with 50% glycerol and 0.02% sodium azide | |
O60674, Q62120, Q62689 | |
JAK2 | |
A synthesized peptide derived from human Jak2 around the phosphorylation site of Tyr1008. | |
100 μL | |
Primary | |
Human, Mouse, Rat | |
Antibody | |
IgG |
Product Content Correction
Your input is important to us. Please complete this form to provide feedback related to the content on this product.
Product Title
Spot an opportunity for improvement?Share a Content Correction