Promotional price valid on web orders only. Your contract pricing may differ. Interested in signing up for a dedicated account number?
Learn More
Learn More
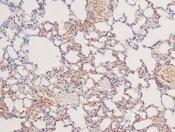
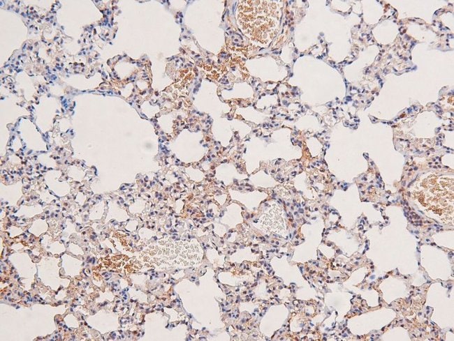
Invitrogen™ Phospho-LKB1 (Ser334) Polyclonal Antibody

Rabbit Polyclonal Antibody
Supplier: Invitrogen™ PA5105896
Description
Antibody detects endogenous levels of LKB1 only when phosphorylated at Ser334.
LKB1 (also known as STK11 - Serine/threonine-protein kinase STK11), a member of the serine/threonine kinase family, is a tumor suppressor. LKB1 physically associates with p53 and regulates specific p53 dependent apoptosis pathways. LKB1 is present in both the cytoplasm and nucleus of living cells and translocates to mitochondria during apoptosis. LKB1 functions as a master upstream protein kinase, regulating AMPK related kinases as well as AMPK. Mutations in LKB1 gene are associated with Peutz Jeghers syndrome.
Specifications
| Phospho-LKB1 (Ser334) | |
| Polyclonal | |
| Unconjugated | |
| STK11 | |
| AA408040; CAMK group; CAMKL family; hLKB1; liver kinase B1; Liver kinase B1 homolog; LKB 1; LKB1; LKB-1; LKB1(S); Par-4; PJS; polarization-related protein LKB1; R75140; renal carcinoma antigen NY-REN-19; serine/threonine kinase 11; serine/threonine-protein kinase 11; serine/threonine-protein kinase LKB1; serine/threonine-protein kinase STK11; STK11 | |
| Rabbit | |
| Sequential Chromatography | |
| RUO | |
| 20869, 314621, 6794 | |
| -20°C | |
| Liquid |
| Immunohistochemistry (Paraffin), Western Blot, Immunocytochemistry | |
| 1 mg/mL | |
| PBS with 50% glycerol and 0.02% sodium azide; pH 7.4 | |
| D4AE59, Q15831, Q9WTK7 | |
| STK11 | |
| A synthesized peptide derived from human STK11(Accession Q15831), corresponding to amino acid residues around phosphorylated Ser334. | |
| 100 μL | |
| Primary | |
| Human, Mouse, Rat | |
| Antibody | |
| IgG |
Safety and Handling
WARNING: Cancer - www.P65Warnings.ca.gov
Product Content Correction
Your input is important to us. Please complete this form to provide feedback related to the content on this product.
Product Title
Spot an opportunity for improvement?Share a Content Correction