Promotional price valid on web orders only. Your contract pricing may differ. Interested in signing up for a dedicated account number?
Learn More
Learn More
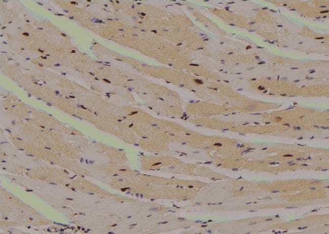
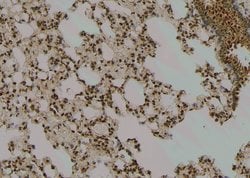
Invitrogen™ Phospho-MAPKAPK2 (Thr221, Thr222) Polyclonal Antibody

Rabbit Polyclonal Antibody
Supplier: Invitrogen™ PA5105577
Description
Antibody detects endogenous levels of MAPKAPK2 only when phosphorylated at Thr221/222.
MAPKAPK2 mediates p38 and ERK signaling in vivo. It is known to be involved in many cellular processes including stress and inflammatory responses, nuclear export, gene expression regulation, and cell proliferation. MAPKAPK2 encodes a member of the Ser/Thr protein kinase family. MAPKAPK2 is regulated through direct phosphorylation by p38 MAP kinase. In conjunction with p38 MAP kinase, MAPKAPK2 is known to be involved in many cellular processes including stress and inflammatory responses, nuclear export, gene expression regulation and cell proliferation. Heat shock protein HSP27 was shown to be one of the substrates of this kinase in vivo. Two transcript variants encoding two different isoforms have been found for MAPKAPK2.
Specifications
| Phospho-MAPKAPK2 (Thr221, Thr222) | |
| Polyclonal | |
| Unconjugated | |
| MAPKAPK2 | |
| AA960234; MAP kinase-activated protein kinase 2; MAPK activated protein kinase 2; MAPK-activated protein kinase 2; MAPKAP kinase 2; Mapkapk2; MAPKAP-K2; MAPKAPK-2; mitogen-activated protein kinase-activated protein kinase 2; MK2; MK-2; Rps6kc1 | |
| Rabbit | |
| Sequential Chromatography | |
| RUO | |
| 17164, 289014, 9261 | |
| -20°C | |
| Liquid |
| Immunohistochemistry (Paraffin), Western Blot | |
| 1 mg/mL | |
| PBS with 50% glycerol and 0.02% sodium azide; pH 7.4 | |
| P49137, P49138 | |
| MAPKAPK2 | |
| A synthesized peptide derived from human MAPKAPK2(Accession P49137), corresponding to amino acid residues around phosphorylated Thr221. | |
| 100 μL | |
| Primary | |
| Human, Mouse, Rat | |
| Antibody | |
| IgG |
Safety and Handling
WARNING: Cancer - www.P65Warnings.ca.gov
Product Content Correction
Your input is important to us. Please complete this form to provide feedback related to the content on this product.
Product Title
Spot an opportunity for improvement?Share a Content Correction