Promotional price valid on web orders only. Your contract pricing may differ. Interested in signing up for a dedicated account number?
Learn More
Learn More
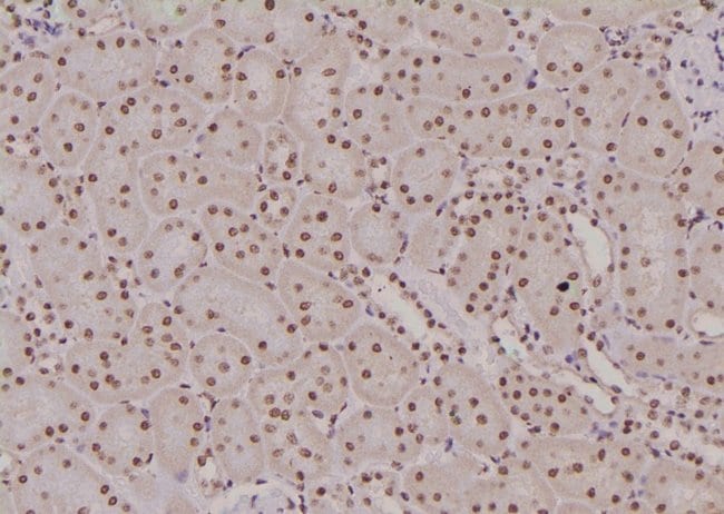
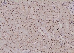
Invitrogen™ Phospho-MCM4 (Ser88) Polyclonal Antibody

Rabbit Polyclonal Antibody
Supplier: Invitrogen™ PA5105562
Description
Antibody detects endogenous levels of MCM4 only when phosphorylated at Ser88.
The protein encoded by this gene is one of the highly conserved mini-chromosome maintenance proteins (MCM) that are essential for the initiation of eukaryotic genome replication. The hexameric protein complex formed by MCM proteins is a key component of the pre-replication complex (pre_RC) and may be involved in the formation of replication forks and in the recruitment of other DNA replication related proteins. The MCM complex consisting of this protein and MCM2, 6 and 7 proteins possesses DNA helicase activity, and may act as a DNA unwinding enzyme. The phosphorylation of this protein by CDC2 kinase reduces the DNA helicase activity and chromatin binding of the MCM complex. This gene is mapped to a region on the chromosome 8 head-to-head next to the PRKDC/DNA-PK, a DNA-activated protein kinase involved in the repair of DNA double-strand breaks. Alternatively spliced transcript variants encoding the same protein have been reported.
Specifications
| Phospho-MCM4 (Ser88) | |
| Polyclonal | |
| Unconjugated | |
| Mcm4 | |
| 19G; AI325074; AU045576; cb1025; Cdc21; CDC21 homolog; CDC54; DNA replication licensing factor MCM4; fc12c09; fj85g09; hCdc21; hm:zeh1616; homolog of S. pombe cell devision cycle 21; mcdc21; MCM4; MCM4 minichromosome maintenance deficient 4; MCM4 minichromosome maintenance deficient 4, mitotin; mcm4 protein; Mcmd4; mini chromosome maintenance deficient 4 homolog; minichromosome maintenance complex component 4; minichromosome maintenance deficient 4; minichromosome maintenance deficient 4 homolog; minichromosome maintenance deficient 4 homolog (S. cerevisiae); mKIAA4003; NKCD; NKGCD; P1-CDC21; Unknown (protein for MGC:140484); wu:fc12c09; wu:fj85g09; zeh1616 | |
| Rabbit | |
| Sequential chromatography | |
| RUO | |
| 17217, 29728, 4173 | |
| -20°C | |
| Liquid |
| Immunohistochemistry (Paraffin), Western Blot, Immunocytochemistry | |
| 1 mg/mL | |
| PBS with 50% glycerol and 0.02% sodium azide; pH 7.4 | |
| P33991, P49717 | |
| Mcm4 | |
| A synthesized peptide derived from human MCM4(Accession P33991), corresponding to amino acid residues around phosphorylated Ser88. | |
| 100 μL | |
| Primary | |
| Human, Mouse, Rat, Monkey | |
| Antibody | |
| IgG |
Product Content Correction
Your input is important to us. Please complete this form to provide feedback related to the content on this product.
Product Title
Spot an opportunity for improvement?Share a Content Correction