Promotional price valid on web orders only. Your contract pricing may differ. Interested in signing up for a dedicated account number?
Learn More
Learn More
Invitrogen™ Phospho-MEF2A (Ser408) Polyclonal Antibody

Rabbit Polyclonal Antibody
Supplier: Invitrogen™ PA537641
Description
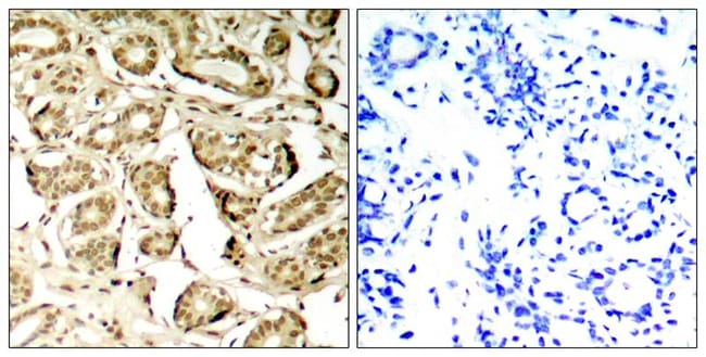
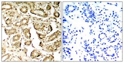
A suggested positive control for IHC is human breast carcinoma.
The proteins belonging to structural maintenance of chromosomes (SMC) family play critical roles in chromosome structural changes. SMC proteins are involved in the proper condensation and segregation of mitotic chromosomes. Four human SMC proteins that form two distinct heterodimeric complexes in the cell, the human chromosome-associated protein (hCAP)-C and hCAP-E protein complex (hCAP-C/hCAP-E), and the human SMC1 (hSMC1) and hSMC3 protein complex (hSMC1/hSMC3) have been identified.
Specifications
| Phospho-MEF2A (Ser408) | |
| Polyclonal | |
| Unconjugated | |
| MEF2A | |
| A430079H05Rik; ADCAD1; C5DELq14.3; DEL5q14.3; MADS box transcription enhancer factor 2, polypeptide A (myocyte enhancer factor 2A); MADS box transcription enhancer factor 2, polypeptide C; mef2; Mef2a; MEF2C; myocyte enhancer factor 2a; myocyte enhancer factor 2C; Myocyte-specific enhancer factor 2A; myocyte-specific enhancer factor 2C; RSRFC4; RSRFC9; Serum response factor-like protein 1 | |
| Rabbit | |
| Affinity chromatography | |
| RUO | |
| 17258, 309957, 4205 | |
| -20°C | |
| Liquid |
| Immunohistochemistry (Paraffin) | |
| 1 mg/mL | |
| PBS with 50% glycerol and 0.02% sodium azide; pH 7.4 | |
| Q02078, Q2MJT0, Q60929 | |
| MEF2A | |
| Peptide sequence around phosphorylation site of serine 408 (P-I-S(p)-P-P) derived from Human MEF2A. | |
| 100 μL | |
| Primary | |
| Human, Mouse, Rat | |
| Antibody | |
| IgG |
Safety and Handling
WARNING: Cancer - www.P65Warnings.ca.gov
Product Content Correction
Your input is important to us. Please complete this form to provide feedback related to the content on this product.
Product Title
Spot an opportunity for improvement?Share a Content Correction