Learn More
Invitrogen™ Phospho-MEF2C (Ser396) Polyclonal Antibody

Description
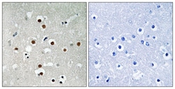
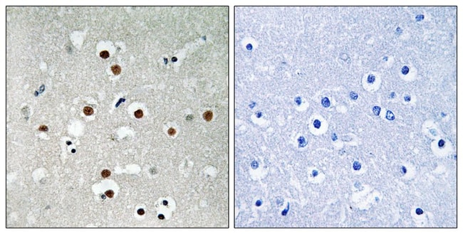
A suggested positive control for Western blot is COS7 cells; suggested positive control for IHC is human brain tissue.
Specifications
Specifications
| Antigen | Phospho-MEF2C (Ser396) |
| Applications | Immunohistochemistry (Paraffin), Western Blot |
| Classification | Polyclonal |
| Concentration | 1 mg/mL |
| Conjugate | Unconjugated |
| Formulation | PBS with 50% glycerol and 0.02% sodium azide; pH 7.4 |
| Gene | MEF2C |
| Gene Accession No. | Q06413, Q8CFN5 |
| Gene Alias | 5430401D19Rik; 9930028G15Rik; AV011172; C5DELq14.3; DEL5q14.3; hoo; hoover; id:ibd5026; MADS box transcription enhancer factor 2, polypeptide C; Mef2; mef2c; mef2c protein; mef2ca; Myocyte enhancer factor 2C; myocyte enhancer factor 2C MEF2C; myocyte enhancer factor 2ca; myocyte enhancer factor 2ca 4'-6'; myocyte enhancer factor 2ca delta gamma-like; myocyte enhancer factor 2ca variant 4; myocyte enhancer factor 2ca variant 5; myocyte enhancer factor 2ca variant 6; myocyte enhancer factor 2ca; myocyte-specific enhancer factor 2C; myocyte-specific enhancer factor 2C; RGD1563119; wu:fc05b06; zgc:64184; zgc:85726 |
| Gene Symbols | MEF2C |
| Show More |
By clicking Submit, you acknowledge that you may be contacted by Fisher Scientific in regards to the feedback you have provided in this form. We will not share your information for any other purposes. All contact information provided shall also be maintained in accordance with our Privacy Policy.