Promotional price valid on web orders only. Your contract pricing may differ. Interested in signing up for a dedicated account number?
Learn More
Learn More
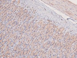
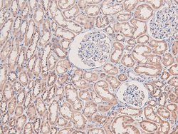
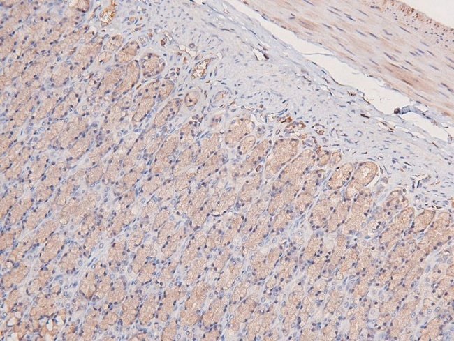
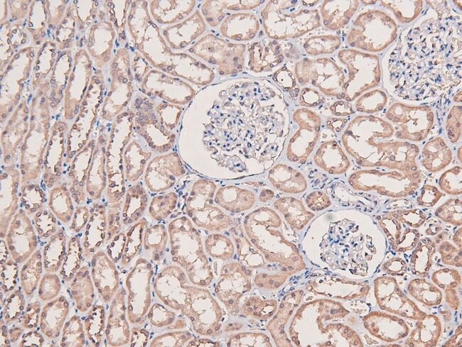
Invitrogen™ Phospho-MEKK2 (Ser520) Polyclonal Antibody

Rabbit Polyclonal Antibody
Supplier: Invitrogen™ PA5105898
Description
Antibody detects endogenous levels of MAP3K2 only when phosphorylated at Ser520.
MAP3K2 (MEKK2) is a serine/threonine kinase that activates kinases involved in the MAP kinase signaling pathway. This kinase preferentially activates other kinases involved in the MAP kinase signaling pathway. This kinase has been shown to directly phosphorylate and activate Ikappa B kinases, and thus plays a role in NF-kappa B signaling pathway. This kinase has also been found to bind and activate protein kinase C-related kinase 2, which suggests its involvement in a regulated signaling process.
Specifications
| Phospho-MEKK2 (Ser520) | |
| Polyclonal | |
| Unconjugated | |
| Map3k2 | |
| 2.7.11.25; 9630061B06Rik; AI585793; MAP/ERK kinase kinase 2; MAP3K2; MAPK/ERK kinase kinase 2; MAPKKK2; MEK kinase 2; MEKK 2; MEKK2; MEKK2B; mitogen activated protein kinase kinase kinase 2; mitogen-activated protein kinase kinase kinase 2; protein kinase MEKK2b | |
| Rabbit | |
| Sequential Chromatography | |
| RUO | |
| 10746, 171492, 26405 | |
| -20°C | |
| Liquid |
| Immunohistochemistry (Paraffin), Western Blot | |
| 1 mg/mL | |
| PBS with 50% glycerol and 0.02% sodium azide; pH 7.4 | |
| Q61083, Q9Y2U5 | |
| Map3k2 | |
| A synthesized peptide derived from human MAP3K2(Accession Q9Y2U5), corresponding to amino acid residues around phosphorylated Ser520. | |
| 100 μL | |
| Primary | |
| Human, Mouse, Rat | |
| Antibody | |
| IgG |
Safety and Handling
WARNING: Cancer - www.P65Warnings.ca.gov
Product Content Correction
Your input is important to us. Please complete this form to provide feedback related to the content on this product.
Product Title
Spot an opportunity for improvement?Share a Content Correction