Promotional price valid on web orders only. Your contract pricing may differ. Interested in signing up for a dedicated account number?
                
Learn More
Learn More
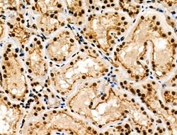
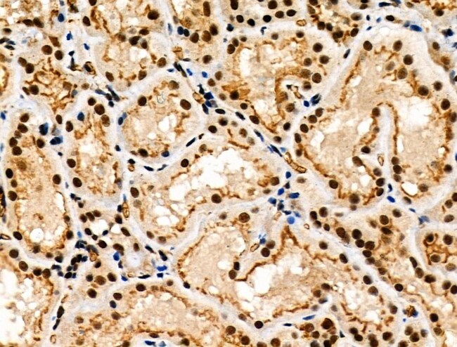
                                    Invitrogen™ Phospho-MKP-1 (Ser323) Polyclonal Antibody
 
                                    
                                    
                                    
                                    
                                
                            
                            
                            
                            
Rabbit Polyclonal Antibody
Supplier: Invitrogen™ PA5106010
Description
Antibody detects endogenous levels of DUSP1/MKP1 only when phosphorylated at Ser323.
The expression of DUSP1 gene is induced in human skin fibroblasts by oxidative/heat stress and growth factors. It specifies a protein with structural features similar to members of the non-receptor-type protein-tyrosine phosphatase family, and which has significant amino-acid sequence similarity to a Tyr/Ser-protein phosphatase encoded by the late gene H1 of vaccinia virus. The bacterially expressed and purified DUSP1 protein has intrinsic phosphatase activity, and specifically inactivates mitogen-activated protein (MAP) kinase in vitro by the concomitant dephosphorylation of both its phosphothreonine and phosphotyrosine residues. Furthermore, it suppresses the activation of MAP kinase by oncogenic ras in extracts of Xenopus oocytes. Thus, DUSP1 may play an important role in the human cellular response to environmental stress as well as in the negative regulation of cellular proliferation. 
            Specifications
| Phospho-MKP-1 (Ser323) | |
| Polyclonal | |
| Unconjugated | |
| Dusp1 | |
| 3ch134; 3CH134/CL100 PTPase; CL 100; CL100; dual specificity phosphatase 1; dual specificity protein phosphatase 1; Dual specificity protein phosphatase hVH1; DUS1; DUSP1; EC 3.1.3.16; EC 3.1.3.48; erp; HVH1; MAP kinase phosphatase 1; MAP kinase phosphatase-1; mitogen-activated protein (MAP) kinase phosphatase-1; mitogen-activated protein kinase phosphatase 1; mitogen-activated protein kinase phosphatase-1; MKP1; mkp-1; oxidative stress-inducible protein tyrosine phosphatase; protein tyrosine phosphatase non-receptor type 16; protein tyrosine phosphatase, non-receptor type 16; protein-tyrosine phosphatase 3CH134; Protein-tyrosine phosphatase CL100; protein-tyrosine phosphatase ERP; Protein-tyrosine phosphatase non-receptor type 16; PTPN10; Ptpn16; serine/threonine specific protein phosphatase; U19515; VH1 | |
| Rabbit | |
| Sequential chromatography | |
| RUO | |
| 114856, 1843, 19252 | |
| -20°C | |
| Liquid | 
| Immunohistochemistry (Paraffin), Western Blot, Immunocytochemistry | |
| 1 mg/mL | |
| PBS with 50% glycerol and 0.02% sodium azide; pH 7.4 | |
| P28562, P28563, Q64623 | |
| Dusp1 | |
| A synthesized peptide derived from human DUSP1(Accession P28562), corresponding to amino acid residues around phosphorylated Ser323. | |
| 100 μL | |
| Primary | |
| Human, Mouse, Rat | |
| Antibody | |
| IgG | 
                    Product Content Correction
                
                Your input is important to us. Please complete this form to provide feedback related to the content on this product.
Product Title
			
            Spot an opportunity for improvement?Share a Content Correction
             
                             
                             
                             
                            