Promotional price valid on web orders only. Your contract pricing may differ. Interested in signing up for a dedicated account number?
Learn More
Learn More
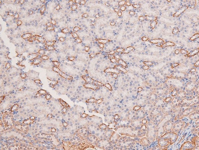
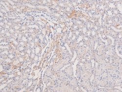
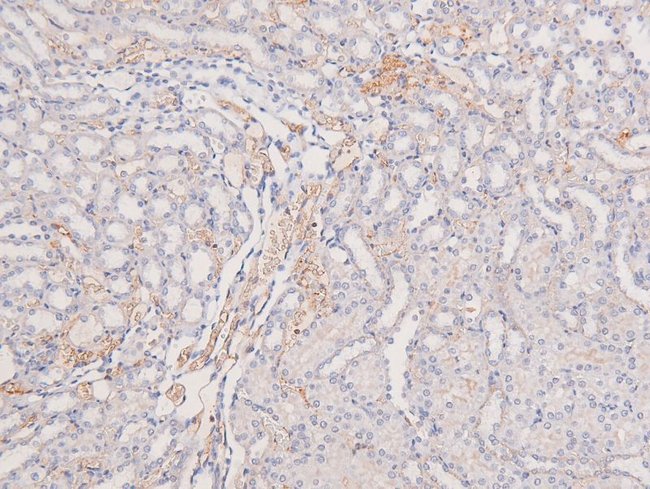
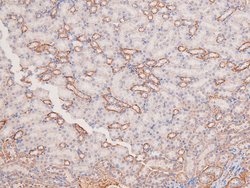
Invitrogen™ Phospho-MOK (Tyr161) Polyclonal Antibody

Rabbit Polyclonal Antibody
Supplier: Invitrogen™ PA5105903
Description
Antibody detects endogenous levels of MOK only when phosphorylated at Tyr161.
MOK is able to phosphorylate several exogenous substrates and to undergo autophosphorylation. It negatively regulates cilium length in a cAMP and mTORC1 signaling-dependent manner.
Specifications
Phospho-MOK (Tyr161) | |
Polyclonal | |
Unconjugated | |
MOK | |
MAPK/MAK/MRK overlapping kinase; MAPK/MAK/MRK/ overlapping kinase; MOK; MOK protein kinase; Rage; RAGE1; RAGE-1; renal cell carcinoma antigen; renal tumor antigen; renal tumor antigen 1; Serine/threonine kinase 30; soluble RAGE; STK30; T/STK 30 | |
Rabbit | |
Sequential chromatography | |
RUO | |
26448, 362787, 5891 | |
-20°C | |
Liquid |
Immunohistochemistry (Paraffin), Western Blot | |
1 mg/mL | |
PBS with 50% glycerol and 0.02% sodium azide; pH 7.4 | |
Q9UQ07, Q9WVS4 | |
MOK | |
A synthesized peptide derived from human MOK(Accession Q9UQ07), corresponding to amino acid residues around phosphorylated Tyr161. | |
100 μL | |
Primary | |
Human, Mouse, Rat | |
Antibody | |
IgG |
Product Content Correction
Your input is important to us. Please complete this form to provide feedback related to the content on this product.
Product Title
Spot an opportunity for improvement?Share a Content Correction