Promotional price valid on web orders only. Your contract pricing may differ. Interested in signing up for a dedicated account number?
Learn More
Learn More
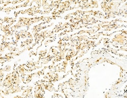
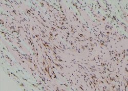
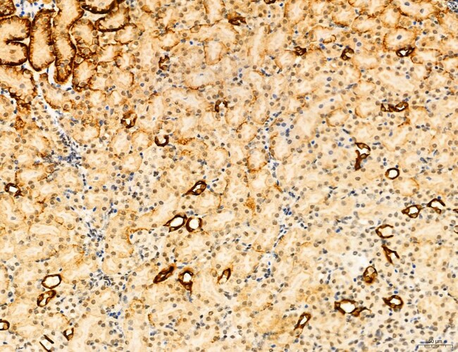
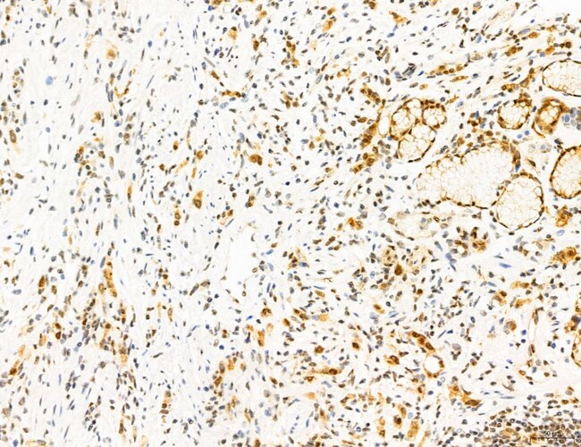
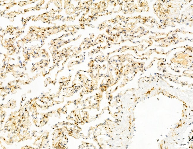
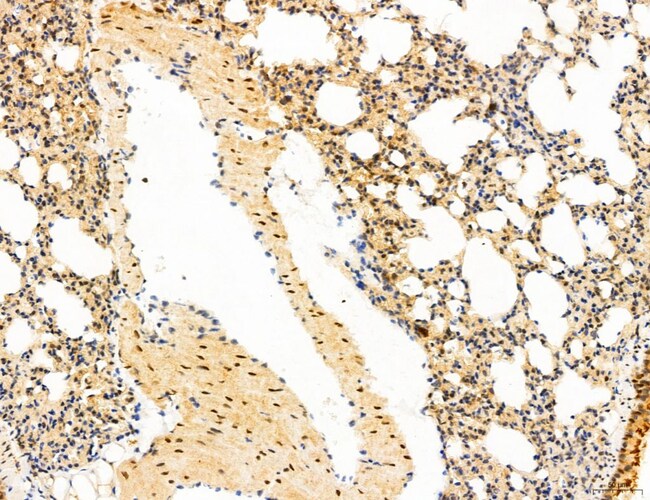
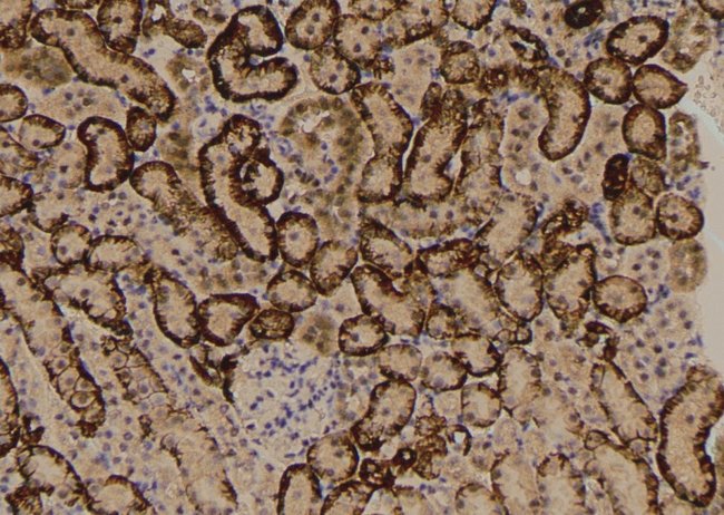
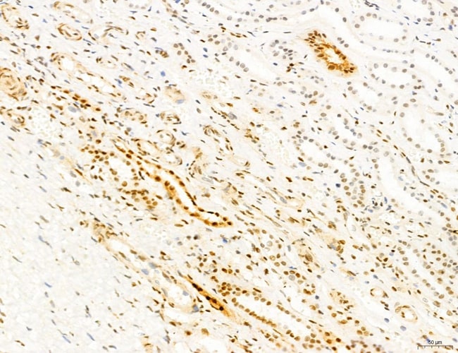
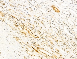
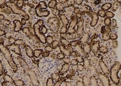
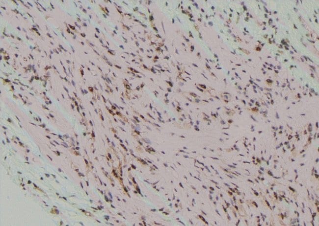
Invitrogen™ Phospho-mTOR (Ser2454) Polyclonal Antibody

Rabbit Polyclonal Antibody
Supplier: Invitrogen™ PA5105571
Description
Antibody detects endogenous levels of mTOR only when phosphorylated at Ser2454.
FRAP1 (mTOR) is a serine/threonine kinase that plays a critical role in cellular growth and proliferation. Perturbations in the mTOR/PI3-kinase/AKT pathway are associated with numerous forms of cancer. FRAP1 is also the target of rapamycin and its analogues, which are currently used as immunosuppressants and cancer therapeutics. Mutations affecting the gene results in Smith-Kingsmore syndrome.
Specifications
| Phospho-mTOR (Ser2454) | |
| Polyclonal | |
| Unconjugated | |
| MTOR | |
| 2610315D21Rik; AI327068; angiopoietin-like factor CDT6; FK506 binding protein 12-rapamycin associated protein 1; FK506 binding protein 12-rapamycin associated protein 2; FK506-binding protein 12-rapamycin complex-associated protein 1; FKBP12-rapamycin complex-associated protein; FKBP12-rapamycin complex-associated protein 1; FKBP-rapamycin associated protein; FKBP-rapamycin associated protein (FRAP); FKBP-rapamycin-associated protein FRAP; flat; FRAP; FRAP1; FRAP2; Mammalian target of rapamycin; mechanistic target of rapamycin; mechanistic target of rapamycin (serine/threonine kinase); mechanistic target of rapamycin kinase; Mtor; m-TOR; mTORC1; Raft1; Rapamycin and FKBP12 target 1; rapamycin and FKBP12 target-1 protein; rapamycin associated protein FRAP2; rapamycin target protein 1; RAPT1; serine/threonine-protein kinase mTOR; SKS | |
| Rabbit | |
| Sequential Chromatography | |
| RUO | |
| 2475, 56717, 56718 | |
| -20°C | |
| Liquid |
| Immunohistochemistry (Paraffin), Western Blot, Immunocytochemistry | |
| 1 mg/mL | |
| PBS with 50% glycerol and 0.02% sodium azide; pH 7.4 | |
| P42345, P42346, Q9JLN9 | |
| MTOR | |
| A synthesized peptide derived from human MTOR(Accession P42345), corresponding to amino acid residues around phosphorylated Ser2454. | |
| 100 μL | |
| Primary | |
| Human, Mouse, Rat | |
| Antibody | |
| IgG |
Safety and Handling
WARNING: Cancer - www.P65Warnings.ca.gov
Product Content Correction
Your input is important to us. Please complete this form to provide feedback related to the content on this product.
Product Title
Spot an opportunity for improvement?Share a Content Correction