Promotional price valid on web orders only. Your contract pricing may differ. Interested in signing up for a dedicated account number?
Learn More
Learn More
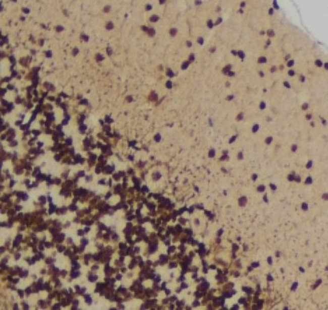
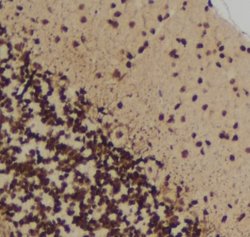
Invitrogen™ Phospho-MUSK (Tyr755) Polyclonal Antibody

Rabbit Polyclonal Antibody
Supplier: Invitrogen™ PA5105382
Description
Antibody detects endogenous levels of MuSK only when phosphorylated at Tyr755.
MUSK plays an important and selective role in many aspects of skeletal muscle development and function through the initial step of postsynaptic differentiation and formation of end-plate bands in cooperation with Rapsyn. Communication between cells is often mediated by receptors on the surface of the target cell that are triggered by specific ligands released by other cells. Receptor tyrosine kinase activity is strictly regulated by the binding of the appropriate ligand to the extracellular active site of the receptor. MuSK has been shown to be part of the agrin signaling complex and plays an important role in the development and architectural maintenance of the neuromuscular junction.
Specifications
| Phospho-MUSK (Tyr755) | |
| Polyclonal | |
| Unconjugated | |
| MUSK | |
| CMS9; FADS; Mdk4; MGC126323; MGC126324; Mlk; muscle associated receptor tyrosine kinase; muscle localized kinase 2; muscle specific kinase (neural fold/somite kinase 1); muscle, skeletal receptor tyrosine protein kinase; Muscle, skeletal receptor tyrosine-protein kinase; muscle, skeletal, receptor tyrosine kinase; muscle-specific kinase receptor; muscle-specific protein kinase secretory isoform; muscle-specific tyrosine kinase receptor MuSK; muscle-specific tyrosine protein kinase receptor; Muscle-specific tyrosine-protein kinase receptor; MuSK; Nsk1; Nsk2; Nsk3; RP23-170A3.1 | |
| Rabbit | |
| Sequential chromatography | |
| RUO | |
| 18198, 4593, 81725 | |
| -20°C | |
| Liquid |
| Immunohistochemistry (Paraffin), Western Blot | |
| 1 mg/mL | |
| PBS with 50% glycerol and 0.02% sodium azide; pH 7.4 | |
| O15146, Q61006, Q62838 | |
| MUSK | |
| A synthesized peptide derived from human MUSK(Accession O15146), corresponding to amino acid residues around phosphorylated Tyr755. | |
| 100 μL | |
| Primary | |
| Human, Mouse, Rat | |
| Antibody | |
| IgG |
Product Content Correction
Your input is important to us. Please complete this form to provide feedback related to the content on this product.
Product Title
Spot an opportunity for improvement?Share a Content Correction