Promotional price valid on web orders only. Your contract pricing may differ. Interested in signing up for a dedicated account number?
Learn More
Learn More
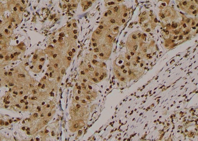
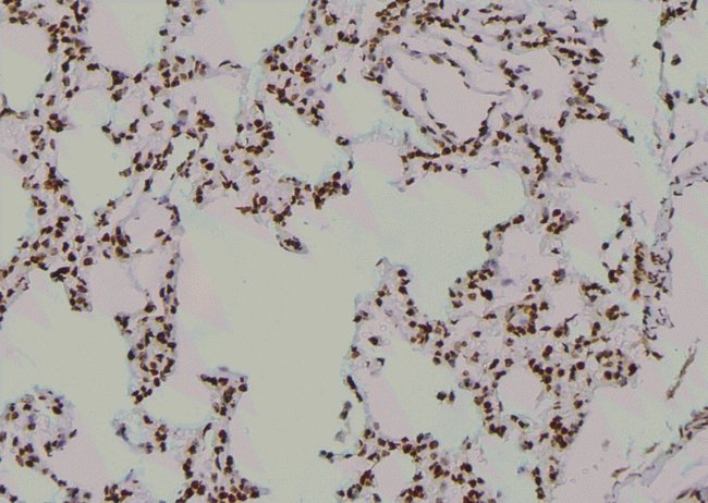
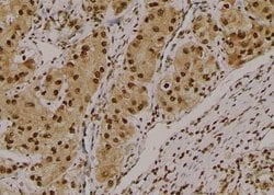
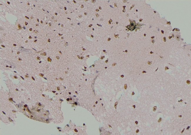
Invitrogen™ Phospho-NBS1 (Ser432) Polyclonal Antibody

Rabbit Polyclonal Antibody
Supplier: Invitrogen™ PA5105413
Description
Antibody detects endogenous levels of p95/NBS1 only when phosphorylated at Ser432.
The p95 gene (identical to NBS1 and nibrin) is a member of the hMre11/hRad50 double-strand break complex. This protein complex has been implicated in Nijmegen breakage syndrome, an autosomal recessive disorder marked by increased cancer incidence, cell cycle checkpoint deficits, and ionizing radiation sensitivity, thus revealing a direct molecular link between double-strand break repair and cell cycle checkpoint functions.
Specifications
| Phospho-NBS1 (Ser432) | |
| Polyclonal | |
| Unconjugated | |
| NBN | |
| AT V1; AT V2; ATV; AT-V1; AT-V2; Cell cycle regulatory protein p95; FLJ10155; I79_012607; MGC87362; Nbn; NBS; NBS1; nibrin; Nijmegen breakage syndrome 1 (nibrin); Nijmegen breakage syndrome protein 1; Nijmegen breakage syndrome protein 1 homolog; OTTHUMP00000204088; P95; p95 protein of the MRE11/RAD50 complex; p95-NBS1 | |
| Rabbit | |
| sequential chromatography | |
| RUO | |
| 27354, 4683, 85482 | |
| -20°C | |
| Liquid |
| Immunohistochemistry (Paraffin), Western Blot, Immunocytochemistry | |
| 1 mg/mL | |
| PBS with 50% glycerol and 0.02% sodium azide; pH 7.4 | |
| O60934, Q9JIL9, Q9R207 | |
| NBN | |
| A synthesized peptide derived from human NBN(Accession O60934), corresponding to amino acid residues around phosphorylated Ser432. | |
| 100 μL | |
| Primary | |
| Human, Mouse, Rat | |
| Antibody | |
| IgG |
Product Content Correction
Your input is important to us. Please complete this form to provide feedback related to the content on this product.
Product Title
Spot an opportunity for improvement?Share a Content Correction