Promotional price valid on web orders only. Your contract pricing may differ. Interested in signing up for a dedicated account number?
Learn More
Learn More
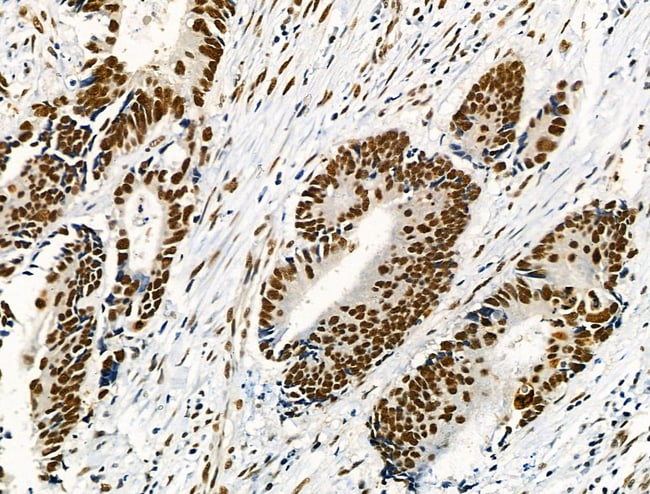
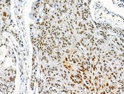
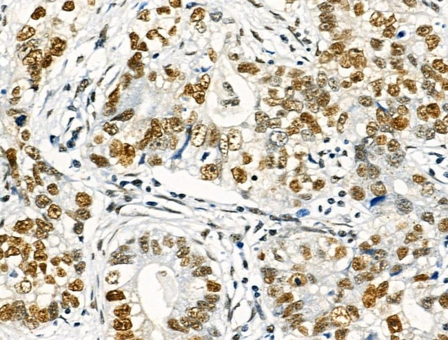
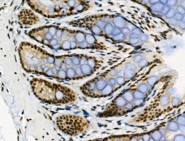
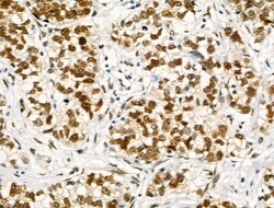
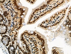
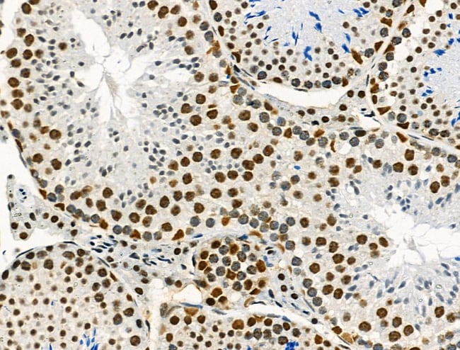
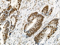
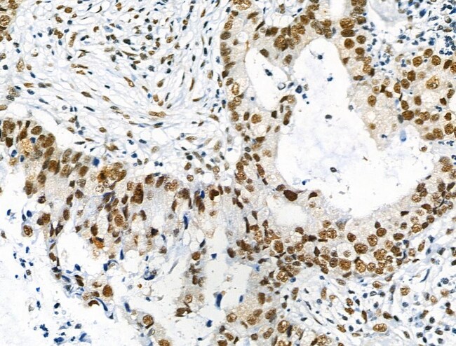
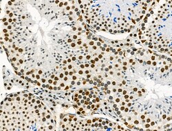
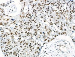
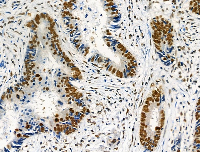
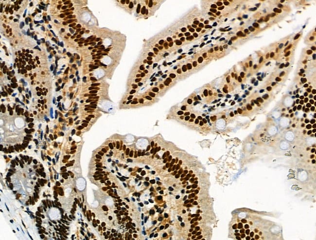
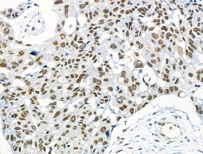
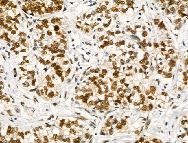
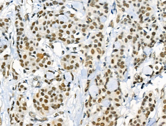
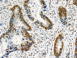
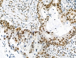
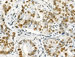
Invitrogen™ Phospho-NFATC1 (Ser172) Polyclonal Antibody

Rabbit Polyclonal Antibody
Supplier: Invitrogen™ PA5106018
Description
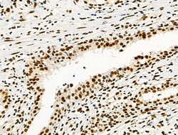
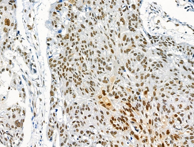
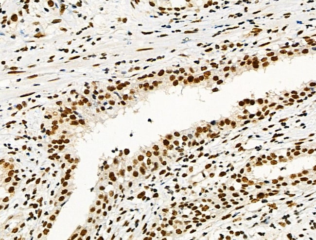
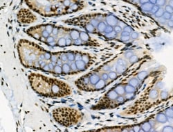
Antibody detects endogenous levels of NFAT2 only when phosphorylated at Ser172.
The product of this gene is a component of the nuclear factor of activated T cells DNA-binding transcription complex. This complex consists of at least two components: a preexisting cytosolic component that translocates to the nucleus upon T cell receptor (TCR) stimulation, and an inducible nuclear component. Proteins belonging to this family of transcription factors play a central role in inducible gene transcription during immune response. The product of this gene is an inducible nuclear component. It functions as a major molecular target for the immunosuppressive drugs such as cyclosporin A. Five transcript variants encoding distinct isoforms have been identified for this gene. Different isoforms of this protein may regulate inducible expression of different cytokine genes.
Specifications
| Phospho-NFATC1 (Ser172) | |
| Polyclonal | |
| Unconjugated | |
| NFATC1 | |
| 2210017P03Rik; AI449492; AV076380; MGC138448; NFAT tra; NFAT trans; NFAT transcription complex cytosolic component; NFAT2; NFATc; NF-ATC; NFATC1; NF-ATc1; NF-ATc1.2; Nfatcb; nuclear factor of activated T cells, cytoplasmic, calcineurin dependent 1; nuclear factor of activated T-cells 1; nuclear factor of activated T-cells 'c'; nuclear factor of activated T-cells, cytoplasmic 1; nuclear factor of activated T-cells, cytoplasmic, calcineurin-dependent 1; transcription factor NF-ATc | |
| Rabbit | |
| Sequential chromatography | |
| RUO | |
| 100361818, 18018, 4772 | |
| -20°C | |
| Liquid |
| Immunohistochemistry (Paraffin), Western Blot, Immunocytochemistry | |
| 1 mg/mL | |
| PBS with 50% glycerol and 0.02% sodium azide; pH 7.4 | |
| O88942, O95644 | |
| NFATC1 | |
| A synthesized peptide derived from human NFATC1(Accession O95644), corresponding to amino acid residues around phosphorylated Ser172. | |
| 100 μL | |
| Primary | |
| Human, Mouse, Rat | |
| Antibody | |
| IgG |
Product Content Correction
Your input is important to us. Please complete this form to provide feedback related to the content on this product.
Product Title
Spot an opportunity for improvement?Share a Content Correction