Learn More
Invitrogen™ Phospho-NFkB p100 (Ser866) Polyclonal Antibody

Description
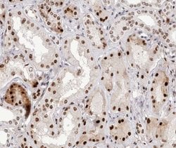
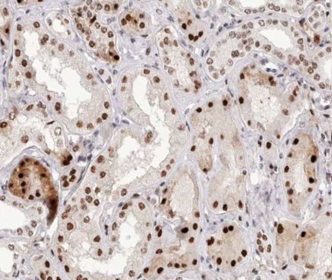
Antibody detects endogenous levels of NF kappaB p100/p52 only when phosphorylated at Serine 866.
Specifications
Specifications
| Antigen | Phospho-NFkB p100 (Ser866) |
| Applications | Immunohistochemistry (Paraffin), Immunoprecipitation, Western Blot, Immunocytochemistry |
| Classification | Polyclonal |
| Concentration | 1 mg/mL |
| Conjugate | Unconjugated |
| Formulation | PBS with 50% glycerol and 0.02% sodium azide; pH 7.4 |
| Gene | Nfkb2 |
| Gene Accession No. | Q00653, Q9WTK5 |
| Gene Alias | CVID10; DNA-binding factor KBF2; H2TF1; Lymphocyte translocation chromosome 10 protein; lyt; Lyt10; LYT-10; NF kappaB2; NF-kappaB2; NF-kB p100; NFKB, p52/p100 subunit; NFKB2; NF-kB2; nuclear factor kappa B subunit 2; nuclear factor Kappa-B, subunit 2; nuclear factor NF-kappa-B p100 subunit; Nuclear factor NF-kappa-B p52 subunit; nuclear factor of Kappa light chain gene enhancer in B cells 2; nuclear factor of kappa light polypeptide gene enhancer in B cells 2, p49/p100; Nuclear factor of kappa light polypeptide gene enhancer in B-cells 2; nuclear factor of kappa light polypeptide gene enhancer in B-cells 2 (p49/p100); nuclear factor of kappa light polypeptide gene enhancer in B-cells 2, p49/p100; oncogene Lyt-10; p100; p49; p49/p100; p50B; p52; RGD1307189; transcription factor NFKB2 |
| Gene Symbols | Nfkb2 |
| Show More |
Safety and Handling
By clicking Submit, you acknowledge that you may be contacted by Fisher Scientific in regards to the feedback you have provided in this form. We will not share your information for any other purposes. All contact information provided shall also be maintained in accordance with our Privacy Policy.