Promotional price valid on web orders only. Your contract pricing may differ. Interested in signing up for a dedicated account number?
Learn More
Learn More
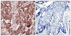
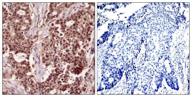
Invitrogen™ Phospho-NFkB p105 (Ser927) Polyclonal Antibody

Rabbit Polyclonal Antibody
Supplier: Invitrogen™ PA537661
Description
A suggested positive control for Western blot is HL60 cells; suggested positive control for IHC is human breast carcinoma; suggested positive control for ICC/IF is Hela cells.
NF-kB is a nuclear transcription factor activated by various extra and intracellular stimuli such as cytokines, UV radiation, stress, in injury, and by bacterial and viral products. It is involved in regulation of various cellular events including cell growth, differentiation, proliferation, apoptosis and inflammation. NFKB1 (p50), a 50KDa functional sub-unit of NF-kB, is a member of Rel protein family. It is synthesized as a p105 precursor protein and consists of an N-terminal conserved RHD-region containing nuclear localization signal, DNA-binding and dimerization domains. NFKB1 (p50) forms homodimers or heterodimerizes with p65, forming the functional NF-kB factor. NFKB1 (p50) directs the nuclear translocation of NF-kB and is instrumental in its DNA-bidning. Pathological role of NF-kB has been suggested in AIDS, hematogenic cancer cell metastasis and rheumatoid arthritis.
Specifications
Phospho-NFkB p105 (Ser927) | |
Polyclonal | |
Unconjugated | |
NFKB1 | |
CVID12; DNA-binding factor KBF1; EBP-1; KBF1; NF kappaB1; NF KB; NFkappaB; NF-kappaB; NF-kappa-B; NF-kappaB p50; NF-kappaB1; NF-kappa-B1 p84/NF-kappa-B1 p98; NF-kappabeta; NF-kB; NF-kB p105; Nfkb1; NF-KB1; NFKB-p105; NFKB-p50; nuclear factor; nuclear factor kappa b; nuclear factor kappa B subunit 1; nuclear factor kappa-B 1; nuclear factor kappa-B DNA binding subunit; nuclear factor kappaB p50; nuclear factor NF-kappa-B p105 subunit; nuclear factor NF-kappa-B p105 subunit-like protein; nuclear factor NF-kappa-B p50 subunit; nuclear factor of kappa light chain gene enhancer in B-cells 1, p105; nuclear factor of kappa light polypeptide enhancer in B-cells 1; nuclear factor of kappa light polypeptide gene enhancer in B cells 1, p105; nuclear factor of kappa light polypeptide gene enhancer in B-cells 1; nuclear factor of kappa light polypeptide gene enhancer in B-cells 1 (p105); nuclear factor of kappa light polypeptide gene enhancer in B-cells 1, p105; nuclear factor-kappaB p50; p105; p50; p50 subunit of NF kappaB; p50 subunit of NF-kappaB; p50/p105; RHD of nuclear factor NF-kappa-B p105 subunit | |
Rabbit | |
Affinity Chromatography | |
RUO | |
18033, 4790, 81736 | |
-20°C | |
Liquid |
Immunohistochemistry (Paraffin), Western Blot, Immunocytochemistry | |
1 mg/mL | |
PBS with 50% glycerol and 0.02% sodium azide; pH 7.4 | |
P19838, P25799, Q63369 | |
NFKB1 | |
Peptide sequence around phosphorylation site of serine 927 (C-D-S(p)-G-V) derived from Human NF-kappa-B-p105. | |
100 μL | |
Primary | |
Human, Mouse, Rat | |
Antibody | |
IgG |
Safety and Handling
WARNING: Cancer - www.P65Warnings.ca.gov
Product Content Correction
Your input is important to us. Please complete this form to provide feedback related to the content on this product.
Product Title
Spot an opportunity for improvement?Share a Content Correction