Promotional price valid on web orders only. Your contract pricing may differ. Interested in signing up for a dedicated account number?
Learn More
Learn More
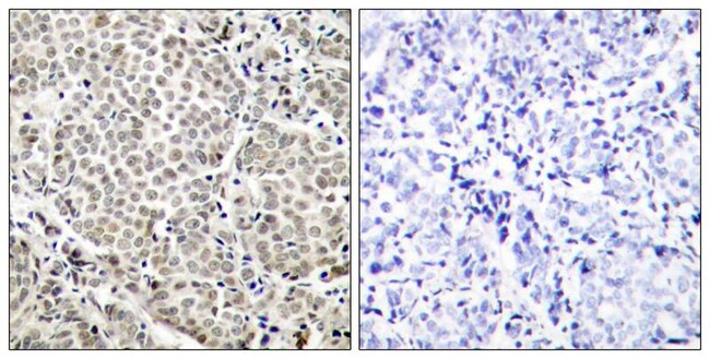
Phospho-NFkB p65 (Ser529) Polyclonal Antibody

Phospho-NFkB p65 (Ser529) Polyclonal Antibody
Supplier: Thermo Scientific PA537722
Description
Phospho-NFkB p65 (Ser529) Polyclonal Antibody for Western Blot, ICC/IF, IHC (P)
Specifications
| Phospho-NFkB p65 (Ser529) | |
| Polyclonal | |
| Unconjugated | |
| RELA | |
| avian reticuloendotheliosis viral (v-rel) oncogene homolog A; EBP-1; I79_021812; MGC131774; NF KB; NFkappaB p65; nf-kappa-b p65; NF-kappa-B p65delta3; NF-kappa-B transcription factor p65; NF-kappaB transcription factor p65 subunit; NFkB; NF-kB p65; NF-kB p65 subunit; nfkb rela; NFKB1; nfkb3; NFkB-p50; nuclear factor; nuclear factor kappa b; nuclear factor kappa B subunit p65; nuclear factor NF-kappa-B p65 subunit; Nuclear factor of kappa light polypeptide gene enhancer in B-cells 3; p65; p65 NF kappaB; p65 NF-kappa B; p65 NFkB; P65 transcription factor; putative transcription factor p65 homolog; REL A; rel1; rela; RELA proto-oncogene, NF-kB subunit; rela.L; rela-a; Transcription factor p65; v-rel avian reticuloendotheliosis viral oncogene homolog A; v-rel avian reticuloendotheliosis viral oncogene homolog A L homeolog; v-rel reticuloendotheliosis viral oncogene homolog A; v-rel reticuloendotheliosis viral oncogene homolog A (avian); v-rel reticuloendotheliosis viral oncogene homolog A, nuclear factor of kappa light polypeptide gene enhancer in B-cells 3, p65; XELAEV_18022301mg; Xrel1; xrela | |
| Rabbit | |
| Affinity Chromatography | |
| RUO | |
| 5970 | |
| -20°C | |
| Liquid |
| Immunohistochemistry (Paraffin), Western Blot, Immunocytochemistry | |
| 1 mg/mL | |
| PBS with 50% glycerol and 0.02% sodium azide; pH 7.4 | |
| Q04206 | |
| RELA | |
| Peptide sequence around phosphorylation site of serine 529 (L-L-S(p)-G-D) derived from Human NF-kappa-B-p65. | |
| 100 μL | |
| Primary | |
| Human | |
| Antibody | |
| IgG |
Safety and Handling
WARNING: Cancer - www.P65Warnings.ca.gov
Product Content Correction
Your input is important to us. Please complete this form to provide feedback related to the content on this product.
Product Title
Spot an opportunity for improvement?Share a Content Correction