Promotional price valid on web orders only. Your contract pricing may differ. Interested in signing up for a dedicated account number?
Learn More
Learn More
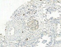
Invitrogen™ Phospho-NLRP3 (Ser295) Polyclonal Antibody

Rabbit Polyclonal Antibody
Supplier: Invitrogen™ PA5105071
Description
Antibody detects endogenous levels of NLRP3 only when phosphorylated at Ser295.
This gene encodes a pyrin-like protein containing a pyrin domain, a nucleotide-binding site domain, and a leucine-rich repeat motif. This protein interacts with the apoptosis-associated speck-like protein PYCARD/ASC, which contains a caspase recruitment domain, and is a member of the NALP3 inflammasome complex. This complex functions as an upstream activator of NF-kappaB signaling, and it plays a role in the regulation of inflammation, the immune response, and apoptosis. Mutations in this gene are associated with familial cold autoinflammatory syndrome, and neonatal-onset multisystem inflammatory disease. Multiple alternatively spliced transcript variants encoding distinct isoforms have been identified for this gene. Alternative 5' UTR structures are suggested by available data; however, insufficient evidence is available to determine if all of the represented 5' UTR splice patterns are biologically valid.
Specifications
| Phospho-NLRP3 (Ser295) | |
| Polyclonal | |
| Unconjugated | |
| NLRP3 | |
| AGTAVPRL; AII; AII/AVP; Angiotensin/vasopressin receptor AII/AVP-like; AVP; C1orf7; caterpiller protein 1.1; Cias1; CLR1.1; cold autoinflammatory syndrome 1 homolog; cold autoinflammatory syndrome 1 protein; cold autoinflammatory syndrome 1 protein homolog; Cold-induced autoinflammatory syndrome 1 protein; cryopyrin; FCAS; FCAS1; FCU; FLJ95925; mast cell maturation inducible protein 1; mast cell maturation-associated-inducible protein 1; Mmig1; MWS; NACHT domain-, leucine-rich repeat-, and PYD-containing protein 3; NACHT, LRR and PYD containing protein 3; NACHT, LRR and PYD domains-containing protein 3; NACHT/LRR/pyrin domain-containing protein 3; NALP3; NLR family pyrin domain containing 3; NLR family, pyrin domain containing 3; Nlrp3; nucleotide-binding oligomerization domain, leucine rich repeat and pyrin domain containing 3; PYPAF1; PYRIN-containing APAF1-like protein 1 | |
| Rabbit | |
| sequential chromatography | |
| RUO | |
| 114548, 216799 | |
| -20°C | |
| Liquid |
| Immunohistochemistry (Paraffin), Western Blot | |
| 1 mg/mL | |
| PBS with 50% glycerol and 0.02% sodium azide; pH 7.4 | |
| Q8R4B8, Q96P20 | |
| NLRP3 | |
| A synthesized peptide derived from human NLRP3(Accession Q96P20), corresponding to amino acid residues around phosphorylated Ser295. | |
| 100 μL | |
| Primary | |
| Human, Mouse | |
| Antibody | |
| IgG |
Safety and Handling
WARNING: Cancer - www.P65Warnings.ca.gov
Product Content Correction
Your input is important to us. Please complete this form to provide feedback related to the content on this product.
Product Title
Spot an opportunity for improvement?Share a Content Correction